[Ortho] И снова пилон

orthoforum на weborto.net orthoforum на weborto.net
Вс Фев 24 16:53:21 YEKT 2008


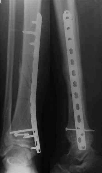
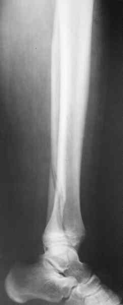
Уважаемый Иван! Если есть ЭОП, то перелом подходит для малоинвазивной 
фиксации. Репозиция суставного отдела (использовать репозиционные 
щипцы)и его фиксация стягивающими винтами чрезкожно, затем пластина 
медиально малоинвазивно, лучше метафизарная. Если не располагаете 
подходящим имплантом или непозволяют мягкие ткани, вполне возможно
применить вместо платы Fix.Ex. В приложении метафизарный перелом у 
ребёнка 14лет, с распространением линии перелома на зону роста.

С Уважением!
А.Миронов (Новокузнецк)




----------- следущая часть -----------
Вложение не в текстовом формате было извлечено…
Имя     : 01.JPG
Тип     : image/jpeg
Размер  : 11327 байтов
Описание: отсутствует
Url     : http://weborto.net:8080/pipermail/ortho/attachments/20080224/89b98851/attachment-0004.jpeg 
----------- следущая часть -----------
Вложение не в текстовом формате было извлечено…
Имя     : 02.JPG
Тип     : image/jpeg
Размер  : 11240 байтов
Описание: отсутствует
Url     : http://weborto.net:8080/pipermail/ortho/attachments/20080224/89b98851/attachment-0005.jpeg 
----------- следущая часть -----------
Вложение не в текстовом формате было извлечено…
Имя     : 05.JPG
Тип     : image/jpeg
Размер  : 7519 байтов
Описание: отсутствует
Url     : http://weborto.net:8080/pipermail/ortho/attachments/20080224/89b98851/attachment-0006.jpeg 
----------- следущая часть -----------
Вложение не в текстовом формате было извлечено…
Имя     : P6270076.JPG
Тип     : image/jpeg
Размер  : 43214 байтов
Описание: отсутствует
Url     : http://weborto.net:8080/pipermail/ortho/attachments/20080224/89b98851/attachment-0007.jpeg 


Подробная информация о списке рассылки Ortho