[Ortho] И снова пилон

orthoforum на weborto.net orthoforum на weborto.net
Вт Фев 26 21:55:39 YEKT 2008


Публикации за последние пять лет показывают, что в лечении переломов 
пилона важным является состояние мягких тканей. Поэтому при лечении 
пилона, особенно после высокоэнергетической травмы, необходимо 
придерживаться правила - лучше проводить запоздалую фиксацию, чем после 
операции иметь проблемы с мягкотканными осложнениями.

Закрытый метод фиксации рекомендуется, когда фрагменты были сопоставлены 
в результате лигаментотаксиса, а открытый минимальный метод при 
нерепонированных отломках.
После репозиции сустава необходимо удостовериться
в заполнении образовавшейся полости ауто- или синтетическими 
заполнителями, что в последующем предохраняет от варусного коллапса.

После ExFix проведение компьютерной томографии считаем обязательным, 
получаем информацию о расположении  крупных фрагментов, которая 
подскажет сторону операционного доступа и направления проведения 
фиксирующего материала.

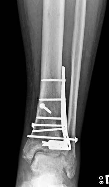
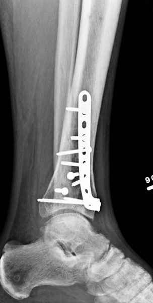
Фиксация наружной лодыжки подсказывается переломом, а малоберцовая 
является ключом-ориентиром для длины конечности.
Если отсутствует перелом малоберцовой тогда теряется смысль проведение 
дистракции наружным "spanning или traveling" фиксатором.

В данном случае ориентир сохранен, малоберцовая хорошо сочленена с 
тараном. Но несмотря на отсутствия перелома на снимке, все-таки для 
страховки можно было бы сделать снимок  проксимальной части конечности.

Любая фиксация - преконтурированные пластины с уголовой стабильностью, 
медиальная, латеральная в зависимости от нахождения отломков или 
наружная фиксация типа аппарата Илизарова подходят для ранней мобилизации.

Не все переломы пилона фиксируются медиальной
пластиной,  поэтому, учитывая что большой фрагмент
находится на латеральной стороне, я бы применил
передне-латеральную пластину.

Djoldas Kuldjanov, MD
Department of Orthopedic Surgery
St. Louis University Medical Center

----------- следущая часть -----------
Вложение не в текстовом формате было извлечено…
Имя     : pilon 3 fin.jpg
Тип     : image/jpeg
Размер  : 22901 байтов
Описание: отсутствует
Url     : http://weborto.net:8080/pipermail/ortho/attachments/20080226/6fb090fd/attachment-0004.jpg 
----------- следущая часть -----------
Вложение не в текстовом формате было извлечено…
Имя     : pilon 5 skin.jpg
Тип     : image/jpeg
Размер  : 38411 байтов
Описание: отсутствует
Url     : http://weborto.net:8080/pipermail/ortho/attachments/20080226/6fb090fd/attachment-0005.jpg 
----------- следущая часть -----------
Вложение не в текстовом формате было извлечено…
Имя     : pilon fx 2 fin.jpg
Тип     : image/jpeg
Размер  : 22226 байтов
Описание: отсутствует
Url     : http://weborto.net:8080/pipermail/ortho/attachments/20080226/6fb090fd/attachment-0006.jpg 
----------- следущая часть -----------
Вложение не в текстовом формате было извлечено…
Имя     : pilon fx CRM.jpg
Тип     : image/jpeg
Размер  : 17917 байтов
Описание: отсутствует
Url     : http://weborto.net:8080/pipermail/ortho/attachments/20080226/6fb090fd/attachment-0007.jpg 


Подробная информация о списке рассылки Ortho