[Ortho] Застарелый вывых головки луча

orthoforum на weborto.net orthoforum на weborto.net
Ср Фев 27 00:17:11 YEKT 2008


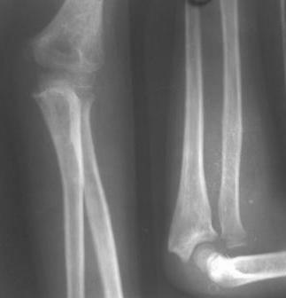
Мальчик 10 лет, из отдаленного района, 3 года назад получил травму, 
лечился уместного табиба. Об-но: движение в локтевом суставе в полном 
обьёме, пронация и супинация предплечья не ограничены, ось предплечья 
правильная, больного беспокоит только деформация- где
вывихнутая головка выступает под кожей . Планируются открытое 
вправление, пластика кольцевидной связки местными тканями, фиксация 
спицами.
Вопросы;
1. На Р-грамме в профиль как будто лучевая кость смещена проксимально, 
это не затрудняет вправление? Если да, то какие будут рекомендации?

2. После нашей операции может наступить контрактура, что можно сделать
для профилактики?

Заранее благодарю за советы и помощь !

С уважением Абдурашид Тураев

----------- следущая часть -----------
Вложение не в текстовом формате было извлечено…
Имя     : SP_A0132.jpg
Тип     : image/jpeg
Размер  : 7162 байтов
Описание: отсутствует
Url     : http://weborto.net:8080/pipermail/ortho/attachments/20080227/ad4e8152/attachment.jpg 


Подробная информация о списке рассылки Ortho