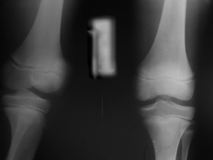
[Ortho] Повреждение передней крестообразной связки

orthoforum на weborto.net orthoforum на weborto.net
Сб Янв 5 00:19:17 YEKT 2008


Снимок коленного сустава в приложении.
Приношу извинение за качество.
P.S В описании больного ошибка в возрасте,пациенту 11 лет.
Александр Жужнев



----------- следущая часть -----------
Вложение не в текстовом формате было извлечено…
Имя     : F.jpg
Тип     : image/jpeg
Размер  : 51575 байтов
Описание: отсутствует
Url     : http://weborto.net:8080/pipermail/ortho/attachments/20080105/03f41c03/attachment-0001.jpg 


Подробная информация о списке рассылки Ortho