[Ortho] Множественные переломы бедра

orthoforum на weborto.net orthoforum на weborto.net
Вт Янв 8 20:18:20 YEKT 2008


Уважаемые коллеги,
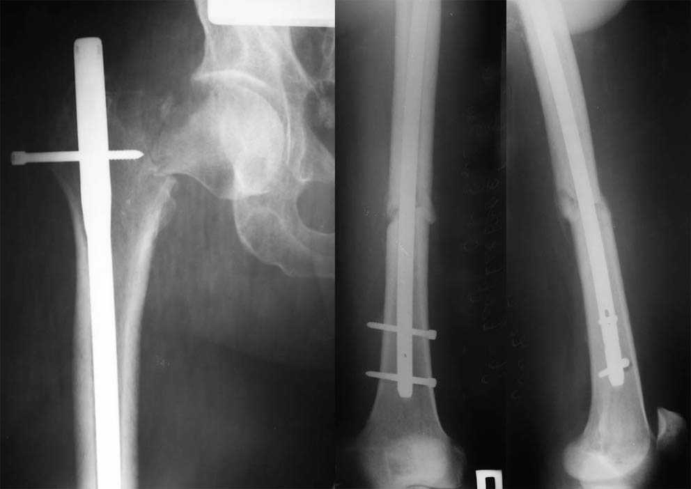
Больной Н., 38 лет, получил травму в результате ДТП. Был доставлен в 
одну из больниц города Самары. Выполнен антероградный остеосинтез 
диафиза правого бедра штифтом с блокированием (ChM). При выполнении 
контрольной рентгенографии был обнаружен перелом шейки бедра,
пропущенный на этапе первичного обследования. Больному было разрешено 
передвигаться на костылях, без опоры на правую ногу. По прошествии 4х 
месяцев больной обратился к нам в клинику. Хотелось бы услышать Ваше 
мнение по поводу дальней тактики лечения.
Сергей Ардатов




----------- следущая часть -----------
Вложение не в текстовом формате было извлечено…
Имя     : 5.jpg
Тип     : image/jpeg
Размер  : 56935 байтов
Описание: отсутствует
Url     : http://weborto.net:8080/pipermail/ortho/attachments/20080108/1a39bc3e/attachment-0001.jpg 


Подробная информация о списке рассылки Ortho