[Ortho] Множественные переломы бедра

orthoforum на weborto.net orthoforum на weborto.net
Пн Янв 14 22:25:07 YEKT 2008


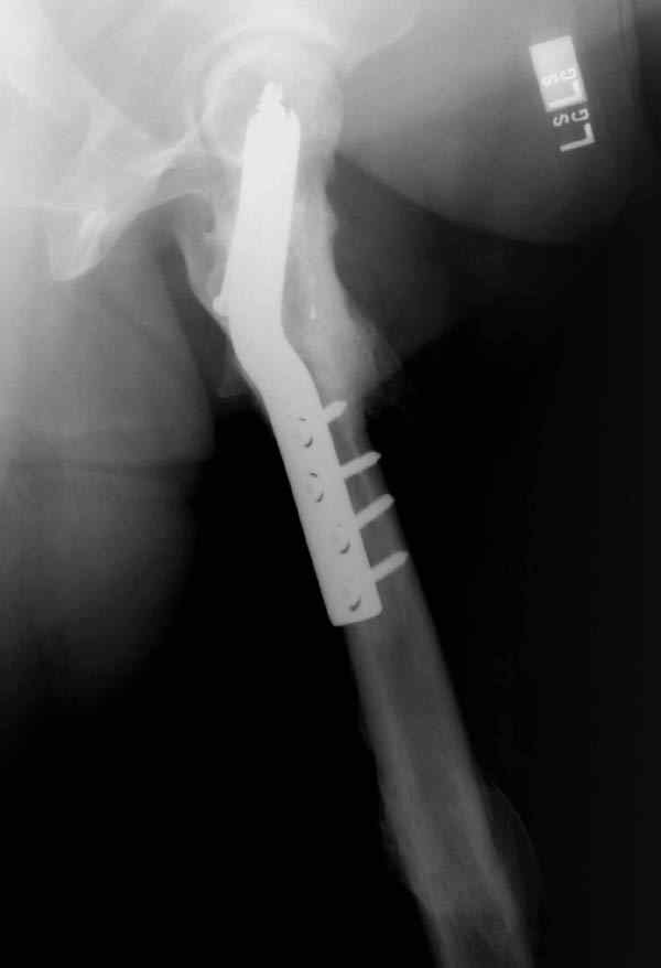
Несмотря на пессимистические прогнозы, у молодых
коррегирующая вальгусная остеотомия является более
приемлемым.

Представленные случаи доказательства тому, что еще
имеется резервы на восстановление даже у 5-6 месячных ложных суставов шейки.


Djoldas Kuldjanov, MD
Department of Orthopedic Surgery
St. Louis University Medical Center

----------- следущая часть -----------
Вложение не в текстовом формате было извлечено…
Имя     : missed neck.JPG
Тип     : image/jpeg
Размер  : 10415 байтов
Описание: отсутствует
Url     : http://weborto.net:8080/pipermail/ortho/attachments/20080114/94c631b9/attachment-0008.jpeg 
----------- следущая часть -----------
Вложение не в текстовом формате было извлечено…
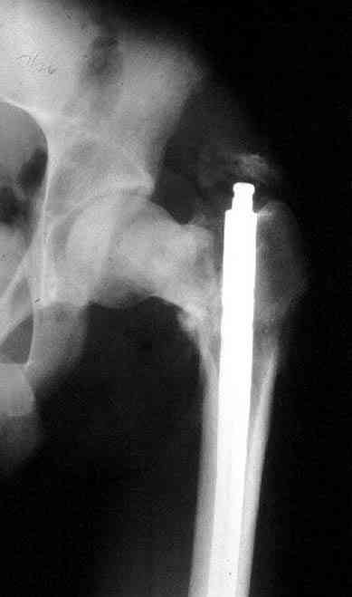
Имя     : missed neck ap.JPG
Тип     : image/jpeg
Размер  : 8243 байтов
Описание: отсутствует
Url     : http://weborto.net:8080/pipermail/ortho/attachments/20080114/94c631b9/attachment-0009.jpeg 
----------- следущая часть -----------
Вложение не в текстовом формате было извлечено…
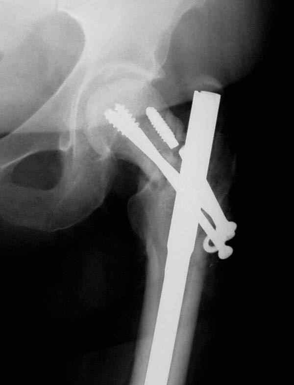
Имя     : missed neck postop.JPG
Тип     : image/jpeg
Размер  : 6466 байтов
Описание: отсутствует
Url     : http://weborto.net:8080/pipermail/ortho/attachments/20080114/94c631b9/attachment-0010.jpeg 
----------- следущая часть -----------
Вложение не в текстовом формате было извлечено…
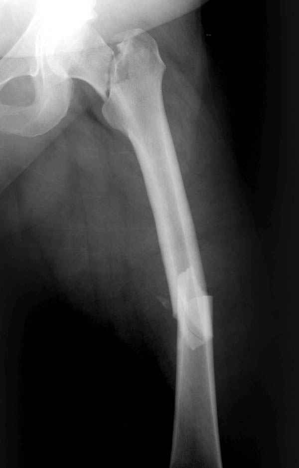
Имя     : ipsilateral neck shaft.JPG
Тип     : image/jpeg
Размер  : 14271 байтов
Описание: отсутствует
Url     : http://weborto.net:8080/pipermail/ortho/attachments/20080114/94c631b9/attachment-0011.jpeg 
----------- следущая часть -----------
Вложение не в текстовом формате было извлечено…
Имя     : ipsilateral neck shaft nonunion.JPG
Тип     : image/jpeg
Размер  : 14233 байтов
Описание: отсутствует
Url     : http://weborto.net:8080/pipermail/ortho/attachments/20080114/94c631b9/attachment-0012.jpeg 
----------- следущая часть -----------
Вложение не в текстовом формате было извлечено…
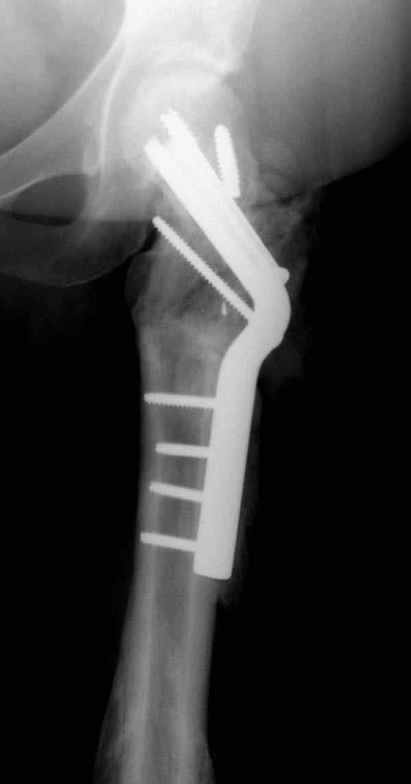
Имя     : ipsilateral neck shaft postop.JPG
Тип     : image/jpeg
Размер  : 36845 байтов
Описание: отсутствует
Url     : http://weborto.net:8080/pipermail/ortho/attachments/20080114/94c631b9/attachment-0013.jpeg 
----------- следущая часть -----------
Вложение не в текстовом формате было извлечено…
Имя     : ipsilateral neck shaft postop2.JPG
Тип     : image/jpeg
Размер  : 15006 байтов
Описание: отсутствует
Url     : http://weborto.net:8080/pipermail/ortho/attachments/20080114/94c631b9/attachment-0014.jpeg 
----------- следущая часть -----------
Вложение не в текстовом формате было извлечено…
Имя     : ipsilateral neck shaft postop3.JPG
Тип     : image/jpeg
Размер  : 10878 байтов
Описание: отсутствует
Url     : http://weborto.net:8080/pipermail/ortho/attachments/20080114/94c631b9/attachment-0015.jpeg 


Подробная информация о списке рассылки Ortho