[Ortho] Застарелое повреждение таза

Maxim Agalakov maxagal на mail.ru
Вт Янв 15 20:38:37 YEKT 2008


Здравствуйте, orthoforum.

Вы писали 13 января 2008 г., 14:48:12:


> слева(+2см).Помогите определиться тактически в какой очередности и каком
> объеме выполнять опер.вмешательство.

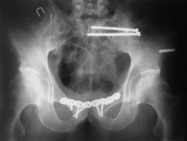
закрытое низведение правой половины таза кольцевым аппаратом (с
фиксацией задних отделов), затем проведение илиосакральных винтов,
реостеосинтез лонного сочленнения, дальнейшая фиксация в аппрате 2-3
мес. Похожий пример в приложении.


-- 
С уважением,
 Maxim                          mailto:maxagal на mail.ru
----------- следущая часть -----------
Вложение не в текстовом формате было извлечено…
Имя     : Рисунок1.jpg
Тип     : image/jpeg
Размер  : 19399 байтов
Описание: отсутствует
Url     : http://weborto.net:8080/pipermail/ortho/attachments/20080115/c9d1813a/attachment-0006.jpg 
----------- следущая часть -----------
Вложение не в текстовом формате было извлечено…
Имя     : Рисунок2.jpg
Тип     : image/jpeg
Размер  : 23795 байтов
Описание: отсутствует
Url     : http://weborto.net:8080/pipermail/ortho/attachments/20080115/c9d1813a/attachment-0007.jpg 
----------- следущая часть -----------
Вложение не в текстовом формате было извлечено…
Имя     : Рисунок3.jpg
Тип     : image/jpeg
Размер  : 29293 байтов
Описание: отсутствует
Url     : http://weborto.net:8080/pipermail/ortho/attachments/20080115/c9d1813a/attachment-0008.jpg 
----------- следущая часть -----------
Вложение не в текстовом формате было извлечено…
Имя     : Рисунок4.jpg
Тип     : image/jpeg
Размер  : 53435 байтов
Описание: отсутствует
Url     : http://weborto.net:8080/pipermail/ortho/attachments/20080115/c9d1813a/attachment-0009.jpg 
----------- следущая часть -----------
Вложение не в текстовом формате было извлечено…
Имя     : Рисунок5.jpg
Тип     : image/jpeg
Размер  : 16611 байтов
Описание: отсутствует
Url     : http://weborto.net:8080/pipermail/ortho/attachments/20080115/c9d1813a/attachment-0010.jpg 
----------- следущая часть -----------
Вложение не в текстовом формате было извлечено…
Имя     : Рисунок6.jpg
Тип     : image/jpeg
Размер  : 33156 байтов
Описание: отсутствует
Url     : http://weborto.net:8080/pipermail/ortho/attachments/20080115/c9d1813a/attachment-0011.jpg 


Подробная информация о списке рассылки Ortho