[Ortho] Политравма у 16 летней девушки

orthoforum на weborto.net orthoforum на weborto.net
Ср Янв 16 00:38:00 YEKT 2008


Долгое ожидание повышает риск АВН головки,
рекомендуется ургентная фиксация шейки в первые сутки, а в дальнейшем таз.
В данный момент скелетное вытяжение получается через перелом шейки, а 
фиксированный перелом шейки будет участвовать в процессе вытяжения через 
канюлированные  шурупы.

Мы сейчас наблюдаем больную с похожим состоянием, больной 54, после 
автоаварии, со множественными
переломами скелета.
Состояние осложнена черепномозговой и абдоминальной травмой, переломы 
L2-5, челюстно-лицевые переломы и состояние после транспланта почки.
Удаление селезенки при поступлении, была нестабильная, в данное время 
приходит в сознании, находилась в реанимации, перевели в общую палату.

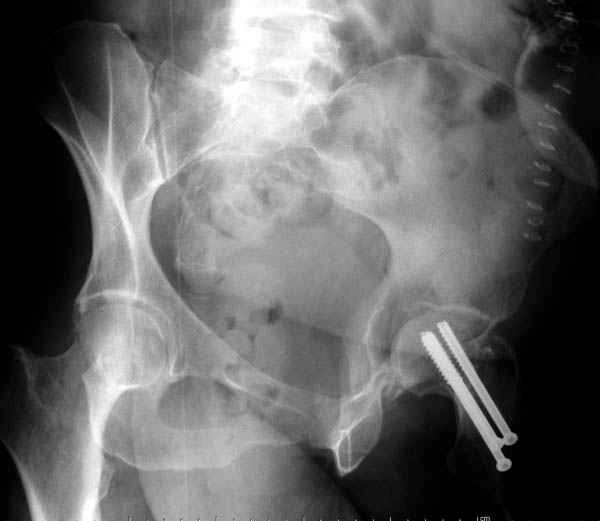
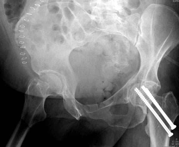
Перелом шейки смогли зафиксировать через пару дней, ацетабулум до сих 
пор не оперирован, на вытяжении.
Из-за упущенного времени (три недели с момента
поступления) ацетабулум ведем консервативно.

На снимке ацетабулума редко встречающийся очень низкий перелом, 
наверное, трудно было репозицию через один доступ? Перелом как бы 
замкнулся в квадрилатеральной поврехности.


Djoldas Kuldjanov, MD
Department of Orthopedic Surgery
St. Louis University Medical Center
Djoldas Kuldjanov


----------- следущая часть -----------
Вложение не в текстовом формате было извлечено…
Имя     : 1 acetabulum fem neck injury.jpg
Тип     : image/jpeg
Размер  : 23064 байтов
Описание: отсутствует
Url     : http://weborto.net:8080/pipermail/ortho/attachments/20080116/651190cc/attachment-0009.jpg 
----------- следущая часть -----------
Вложение не в текстовом формате было извлечено…
Имя     : 5 fem neck CRM.jpg
Тип     : image/jpeg
Размер  : 18998 байтов
Описание: отсутствует
Url     : http://weborto.net:8080/pipermail/ortho/attachments/20080116/651190cc/attachment-0010.jpg 
----------- следущая часть -----------
Вложение не в текстовом формате было извлечено…
Имя     : 6 fem neck CRM.jpg
Тип     : image/jpeg
Размер  : 24442 байтов
Описание: отсутствует
Url     : http://weborto.net:8080/pipermail/ortho/attachments/20080116/651190cc/attachment-0011.jpg 
----------- следущая часть -----------
Вложение не в текстовом формате было извлечено…
Имя     : 12 acetabulum fem neck 3D.jpg
Тип     : image/jpeg
Размер  : 23128 байтов
Описание: отсутствует
Url     : http://weborto.net:8080/pipermail/ortho/attachments/20080116/651190cc/attachment-0012.jpg 
----------- следущая часть -----------
Вложение не в текстовом формате было извлечено…
Имя     : 14 acetabulum fem neck 3D.jpg
Тип     : image/jpeg
Размер  : 27750 байтов
Описание: отсутствует
Url     : http://weborto.net:8080/pipermail/ortho/attachments/20080116/651190cc/attachment-0013.jpg 
----------- следущая часть -----------
Вложение не в текстовом формате было извлечено…
Имя     : 15 acetabulum fem neck 3D.jpg
Тип     : image/jpeg
Размер  : 24795 байтов
Описание: отсутствует
Url     : http://weborto.net:8080/pipermail/ortho/attachments/20080116/651190cc/attachment-0014.jpg 
----------- следущая часть -----------
Вложение не в текстовом формате было извлечено…
Имя     : 16 acetabulum fem neck Judet.jpg
Тип     : image/jpeg
Размер  : 25308 байтов
Описание: отсутствует
Url     : http://weborto.net:8080/pipermail/ortho/attachments/20080116/651190cc/attachment-0015.jpg 
----------- следущая часть -----------
Вложение не в текстовом формате было извлечено…
Имя     : 17 acetabulum fem neck Judet.jpg
Тип     : image/jpeg
Размер  : 26380 байтов
Описание: отсутствует
Url     : http://weborto.net:8080/pipermail/ortho/attachments/20080116/651190cc/attachment-0016.jpg 
----------- следущая часть -----------
Вложение не в текстовом формате было извлечено…
Имя     : 18 acetabulum fem neck Judet final.jpg
Тип     : image/jpeg
Размер  : 25173 байтов
Описание: отсутствует
Url     : http://weborto.net:8080/pipermail/ortho/attachments/20080116/651190cc/attachment-0017.jpg 


Подробная информация о списке рассылки Ortho