[Ortho] Помогите советом - несращение надколенника, перелом тарана

orthoforum на weborto.net orthoforum на weborto.net
Ср Янв 16 22:57:53 YEKT 2008


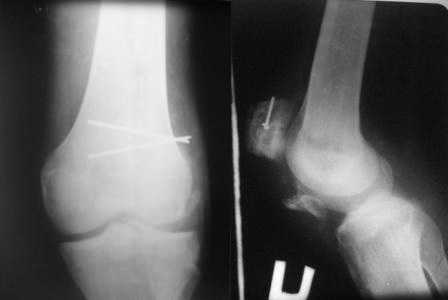
прилагаю  снимки  надколенника.
Abdurashid  Turaev




----------- следущая часть -----------
Вложение не в текстовом формате было извлечено…
Имя     : IMG_1332.jpg
Тип     : image/jpeg
Размер  : 17238 байтов
Описание: отсутствует
Url     : http://weborto.net:8080/pipermail/ortho/attachments/20080116/c46fdbf4/attachment-0001.jpg 


Подробная информация о списке рассылки Ortho