[Ortho] Застарелое повреждение таза

orthoforum на weborto.net orthoforum на weborto.net
Ср Янв 16 23:31:23 YEKT 2008


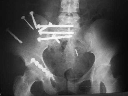
Дорогой Андрей. Мы имеем дело с комбинированной (ротационно и 
вертикально) нестабильностью таза со смещением правого гнемипелвиса. При 
таких переломах, фиксация только переднего полукольца вне зависимости от 
метода фиксации, как уже было сказано Djoldas Kuldjanov, M.D., не может 
создать адекватной фиксации. И перелом пластины был вполне ожидаемым 
после активизации пациента. Смещение сохраняется, и по-видимому не 2 
см., а все 4, если не более. Разница всего (+2 см) по конечностям как вы 
указываете, скорее скомпенсировано позвоночником и протезом. 
Дополнительные снимки или КТ исследование помогли бы уточнить степень 
смещения с точностью до мм.,  выявить  перелом поперечного отростка 
пятого поясничного позвонка, или помимо разрыва правого 
крестцово-подвздошного сочленения выявить перелом боковой массы крестца 
справа и т.д. При возможности, конечно, все это желательно сделать. Но 
мало что изменится с практической точки зрения, т.к. задача -- это 
низведение репозиция и надежная фиксация правого гемипелвиса. Учитывая 
плачевный опыт стержневого аппарата, давность травмы совершенно 
очевидно, что поставленная задача достижима  при открытой репозиции и 
одномоментной фиксации переднего полукольца с артродезированием правого 
крестцово-подвздошного сустава. Операция выполняется в положении 
больного на здоровом боку или полубоку из расширенного трансоссального 
подвздошно-пахового доступа с переходом на лонное сочленение доступом по 
Pfannenstiel. Указанный доступ обеспечивает подход к 
крестцово-подвздошному  сочленению как спереди так и сзади. После 
артродезирования выполняется синтез лонного сочленения. Клинический пример
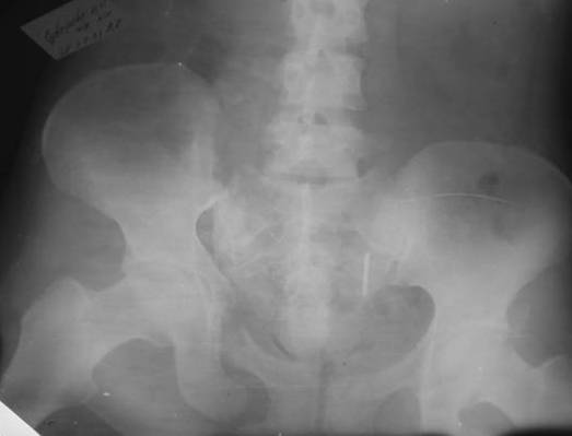
Пациентка С.26 лет. Травма за 6 месяцев до поступления
Укорочение правой нижней конечности до 10см

23.09.2003. Одновременный остеосинтез переднего и заднего тазовых полуколец

Результат через 10 дней  и  8месяцев после операции


Андрей Казанцев



----------- следущая часть -----------
Вложение не в текстовом формате было извлечено…
Имя     : 1.jpg
Тип     : image/jpeg
Размер  : 9438 байтов
Описание: отсутствует
Url     : http://weborto.net:8080/pipermail/ortho/attachments/20080116/71f8b2a6/attachment-0009.jpg 
----------- следущая часть -----------
Вложение не в текстовом формате было извлечено…
Имя     : 2.jpg
Тип     : image/jpeg
Размер  : 11669 байтов
Описание: отсутствует
Url     : http://weborto.net:8080/pipermail/ortho/attachments/20080116/71f8b2a6/attachment-0010.jpg 
----------- следущая часть -----------
Вложение не в текстовом формате было извлечено…
Имя     : 3.jpg
Тип     : image/jpeg
Размер  : 47837 байтов
Описание: отсутствует
Url     : http://weborto.net:8080/pipermail/ortho/attachments/20080116/71f8b2a6/attachment-0011.jpg 
----------- следущая часть -----------
Вложение не в текстовом формате было извлечено…
Имя     : 4.jpg
Тип     : image/jpeg
Размер  : 9197 байтов
Описание: отсутствует
Url     : http://weborto.net:8080/pipermail/ortho/attachments/20080116/71f8b2a6/attachment-0012.jpg 
----------- следущая часть -----------
Вложение не в текстовом формате было извлечено…
Имя     : 5.jpg
Тип     : image/jpeg
Размер  : 7353 байтов
Описание: отсутствует
Url     : http://weborto.net:8080/pipermail/ortho/attachments/20080116/71f8b2a6/attachment-0013.jpg 
----------- следущая часть -----------
Вложение не в текстовом формате было извлечено…
Имя     : 6.jpg
Тип     : image/jpeg
Размер  : 11757 байтов
Описание: отсутствует
Url     : http://weborto.net:8080/pipermail/ortho/attachments/20080116/71f8b2a6/attachment-0014.jpg 
----------- следущая часть -----------
Вложение не в текстовом формате было извлечено…
Имя     : 7.jpg
Тип     : image/jpeg
Размер  : 18032 байтов
Описание: отсутствует
Url     : http://weborto.net:8080/pipermail/ortho/attachments/20080116/71f8b2a6/attachment-0015.jpg 
----------- следущая часть -----------
Вложение не в текстовом формате было извлечено…
Имя     : 8.jpg
Тип     : image/jpeg
Размер  : 7739 байтов
Описание: отсутствует
Url     : http://weborto.net:8080/pipermail/ortho/attachments/20080116/71f8b2a6/attachment-0016.jpg 
----------- следущая часть -----------
Вложение не в текстовом формате было извлечено…
Имя     : 9.jpg
Тип     : image/jpeg
Размер  : 7639 байтов
Описание: отсутствует
Url     : http://weborto.net:8080/pipermail/ortho/attachments/20080116/71f8b2a6/attachment-0017.jpg 


Подробная информация о списке рассылки Ortho