[Ortho] post-nailing fracture

orthoforum на weborto.net orthoforum на weborto.net
Чт Янв 17 00:32:25 YEKT 2008


Dear All,

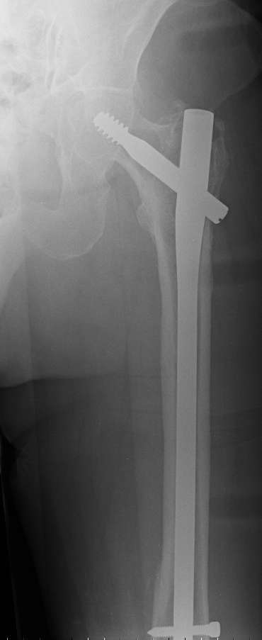
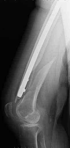
I should like know what is your preferred treatment for this fracture at 
the tip of a long Gamma nail (on a healed subtrocantheric fracture : see 
img).

The patient is a 81 years old lady with osteoporosis and important knee 
arthrosis (as you can see).

Do you remove the nail or not? can we obtain a stable ostheosynthesis 
with a plate without remove the nail?

Do you prefer to apply a plate or an endomedullary nail (along the old 
way of gamma nail) to preserve joint motion?

It is justified to apply bone cement in the bone loss ?


Best regards
Sandro Reverberi
Arcispedale S. Maria Nuova
Reggio Emilia
Italy

----------- следущая часть -----------
Вложение не в текстовом формате было извлечено…
Имя     : tmgn00a.jpg
Тип     : image/jpeg
Размер  : 11343 байтов
Описание: отсутствует
Url     : http://weborto.net:8080/pipermail/ortho/attachments/20080117/0f47dc36/attachment-0003.jpg 
----------- следущая часть -----------
Вложение не в текстовом формате было извлечено…
Имя     : tmgn2.jpg
Тип     : image/jpeg
Размер  : 2914 байтов
Описание: отсутствует
Url     : http://weborto.net:8080/pipermail/ortho/attachments/20080117/0f47dc36/attachment-0004.jpg 
----------- следущая часть -----------
Вложение не в текстовом формате было извлечено…
Имя     : tmgn3.jpg
Тип     : image/jpeg
Размер  : 5345 байтов
Описание: отсутствует
Url     : http://weborto.net:8080/pipermail/ortho/attachments/20080117/0f47dc36/attachment-0005.jpg 


Подробная информация о списке рассылки Ortho