[Ortho] Перелом бедра

Alexander Chelnokov alex на weborto.net
Пт Янв 18 01:43:09 YEKT 2008


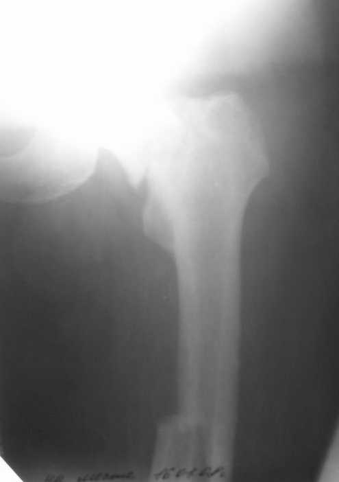
Уважаемые коллеги! Поступил пациент 46 лет после автоаварии от 3.01. 
Лечился в ЦРБ. К нам поступил вчера. Имеется оскольчатый перелом диафиза 
левого бедра, перелом медиального мыщелка, краевой перелом надколенника. 
У нас, кроме того, выявили перелом шейки бедра. Перелом закрытый, 
имеется рана в в/3 голени(ниже уровня бугристости б/берцовой кости)без 
признаков инфицирования.
Планируем закрыто фиксировать мыщелок и надколенник винтами, затем 
закрыто заштифтовать бедро. Вопрос возник по перелому шейки: что 
предпочесть - длинный PFN или DFN + DHS на шейку?
Буду благодарен за ценные советы.
С уважением, Станислав Дмитриев.



-------------- next part --------------
A non-text attachment was scrubbed...
Name: IMG_1548.JPG
Type: image/jpeg
Size: 11754 bytes
Desc: not available
Url : http://weborto.net:8080/pipermail/ortho/attachments/20080118/61dec350/attachment-0004.jpeg 
-------------- next part --------------
A non-text attachment was scrubbed...
Name: IMG_1552.JPG
Type: image/jpeg
Size: 5995 bytes
Desc: not available
Url : http://weborto.net:8080/pipermail/ortho/attachments/20080118/61dec350/attachment-0005.jpeg 
-------------- next part --------------
A non-text attachment was scrubbed...
Name: IMG_1553.JPG
Type: image/jpeg
Size: 23504 bytes
Desc: not available
Url : http://weborto.net:8080/pipermail/ortho/attachments/20080118/61dec350/attachment-0006.jpeg 
-------------- next part --------------
A non-text attachment was scrubbed...
Name: IMG_1554.JPG
Type: image/jpeg
Size: 10830 bytes
Desc: not available
Url : http://weborto.net:8080/pipermail/ortho/attachments/20080118/61dec350/attachment-0007.jpeg 


Подробная информация о списке рассылки Ortho