[Ortho] Перелом проксимального конца бедренной кости со смещенмем малого вертела

Pavel Ivanov ortopedipa на mail.ru
Пн Янв 21 00:16:02 YEKT 2008


Уважаемые коллеги, здравствуйте. Позвольте поделиться информацией об одной нашей пациентке и спросить совета. 

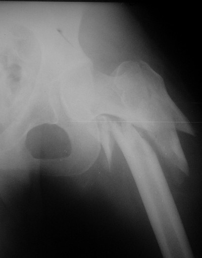
Девушка 21 года 02.10.07 г. пострадала в результате падения с высоты 4-го этажа при пожаре в одном из студенческих общежитий г. Москвы. Получила тяжелую сочетанную травму, в том числе закрытый оскольчатый чрез- и подвертельный перелом левой бедренной кости. Лечилась в одной из больниц столицы. Бедро было фиксировано при помощи скелетного вытяжения. Через полтора месяца после травмы переведена в институт им. Склифосовского. У больной имелись: поддиафрагмальный абсцесс, трахеопищеводный свищ, трахеостома, гастростома, несостоятельность швов раны передней брюшной стенки, укорочение левого бедра на 10 см (рентгенограммы при поступлении - рис 1.).  
В середине декабря был наложен спицестержневой аппарат, с помощью которого к сегодняшнему удалось устранить укорочение бедра (рис. 2). В течение последних 4-х дней устраняем смещение дистального отломка бедренной кости по ширине. Раны на передней брюшной стенке почти зажили. Температура тела и лабораторные показатели нормальные. Планируем выполнить закрытый остеосинтез левой бедренной кости  удлиненным проксимальным бедренным штифтом производства фирмы "Остеомед".  
Нас смущает, что малый вертел бедренной кости остается значительно смещенным проксимально и кнутри. 

Как вы думаете, насколько это повлияет на функцию конечности в последующем?  И еще, интересно, кто-нибудь из участников форума в подобных ситуациях делал ли открытую репозицию и фиксацию малого вертела?  

Заранее спасибо за участие в дискуссии. 


--  

Best regards,

Павел Иванов 
Александр Неведров  

Sklifosovsky Clinical and Research 
Institute for Emergency Medicine 
Polytrauma Department 
3, Bolshaya Sukharevskay sq. Moscow, 
129090 Russia 
skype: pavel_doc 
ortopedipa на mail.ru 
----------- УМЕДХЭБС ЮБУФШ -----------
Вложение не в текстовом формате было извлечено…
Имя     : Рис. 1.jpg
Тип     : image/jpeg
Размер  : 49856 байтов
Описание: отсутствует
Url     : http://weborto.net:8080/pipermail/ortho/attachments/20080120/06195ede/attachment-0001.jpg 
----------- УМЕДХЭБС ЮБУФШ -----------
Вложение не в текстовом формате было извлечено…
Имя     : Рис. 2.JPG
Тип     : image/jpeg
Размер  : 31827 байтов
Описание: отсутствует
Url     : http://weborto.net:8080/pipermail/ortho/attachments/20080120/06195ede/attachment-0001.jpeg 


Подробная информация о списке рассылки Ortho