[Ortho] Застарелое повреждение таза

orthoforum на weborto.net orthoforum на weborto.net
Пн Янв 21 20:23:27 YEKT 2008


Привет, Максим!
Тебя, видимо, очень возмутила фраза об отсутствии показаний для операции.
А ведь показания для столь сложного оперативного лечения не выставляются 
по одной рентгенограмме не самого лучшего качества.
Как-то больной жил 6 лет, 3 года его ничего не смущало? (К плохому 
исходу тоже приспосабливаются.)
В чем причина декомпенсации и где ключи к победе?
По-моему они не столь очевидные.
Насчет нестабильности сомнения все-таки появились...?
А сомнения, что удастся устранить деформацию без мобилизации связки, не 
появилось?
А как ее мобилизовать?
Предложенные операции приведут к успеху?
Так что прежде всего приходится говорить что НЕТ ДОСТАТОЧНЫХ ДАННЫХ для 
того чтобы ввязываться в бой.
Будут данные - может, и показания появятся.

С уважением РАВ

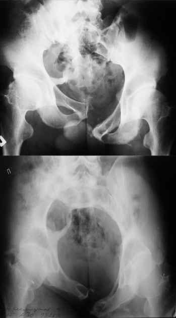
Маленькая иллюстрация (около 5 лет после травмы). Результат плохой - 
укорочение, хромота, периодически боли в спине, но больной отказывается 
от операции, видимо, не так все трагично.
Рунков А.В.

----------- следущая часть -----------
Вложение не в текстовом формате было извлечено…
Имя     : 1.jpg
Тип     : image/jpeg
Размер  : 37716 байтов
Описание: отсутствует
Url     : http://weborto.net:8080/pipermail/ortho/attachments/20080121/b185efb4/attachment-0002.jpg 
----------- следущая часть -----------
Вложение не в текстовом формате было извлечено…
Имя     : 1a.jpg
Тип     : image/jpeg
Размер  : 43445 байтов
Описание: отсутствует
Url     : http://weborto.net:8080/pipermail/ortho/attachments/20080121/b185efb4/attachment-0003.jpg 


Подробная информация о списке рассылки Ortho