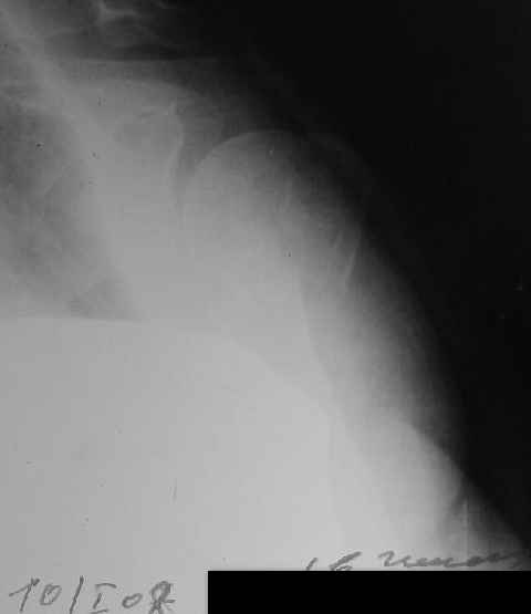
[Ortho] Comminuted fracture proximal humerus

Alexander Chelnokov alex на weborto.net
Пн Янв 21 22:28:58 YEKT 2008


Dear Neeraj,

> DNB> My questions to the house is ...
> DNB> 1. Is there any other option besides the locking plate ?? (Less invasive)


CT scans would be useful to evaluate the head.
Another option could be closed nailing, see an example, the surgery was 
done 2 days ago. In common such surgeries are performed under regional 
anesthesia, not general.
One more option can be fixation by V-shape stressed wires.

> DNB> 2. If he is not medically fit for surgery, then can we leave him
> DNB> alone if yes what are the chances of going it into non union?</i>

Fragments now look severely displaced.


___
Best regards,
  Alexander N. Chelnokov
Ural Scientific Research Institute
of Traumatology and Orthopaedics
7, Bankovsky str. Ekaterinburg 620014 Russia
-------------- next part --------------
A non-text attachment was scrubbed...
Name: get_image1.jpg
Type: image/jpeg
Size: 5216 bytes
Desc: not available
Url : http://weborto.net:8080/pipermail/ortho/attachments/20080121/f9f48214/attachment-0004.jpg 
-------------- next part --------------
A non-text attachment was scrubbed...
Name: get_image2.jpg
Type: image/jpeg
Size: 4796 bytes
Desc: not available
Url : http://weborto.net:8080/pipermail/ortho/attachments/20080121/f9f48214/attachment-0005.jpg 
-------------- next part --------------
A non-text attachment was scrubbed...
Name: get_image3.jpg
Type: image/jpeg
Size: 3313 bytes
Desc: not available
Url : http://weborto.net:8080/pipermail/ortho/attachments/20080121/f9f48214/attachment-0006.jpg 
-------------- next part --------------
A non-text attachment was scrubbed...
Name: get_image4.jpg
Type: image/jpeg
Size: 3106 bytes
Desc: not available
Url : http://weborto.net:8080/pipermail/ortho/attachments/20080121/f9f48214/attachment-0007.jpg 


Подробная информация о списке рассылки Ortho