[Ortho] патологический незавершенный перелом верхней трети голени

orthoforum на weborto.net orthoforum на weborto.net
Вт Янв 22 21:48:56 YEKT 2008


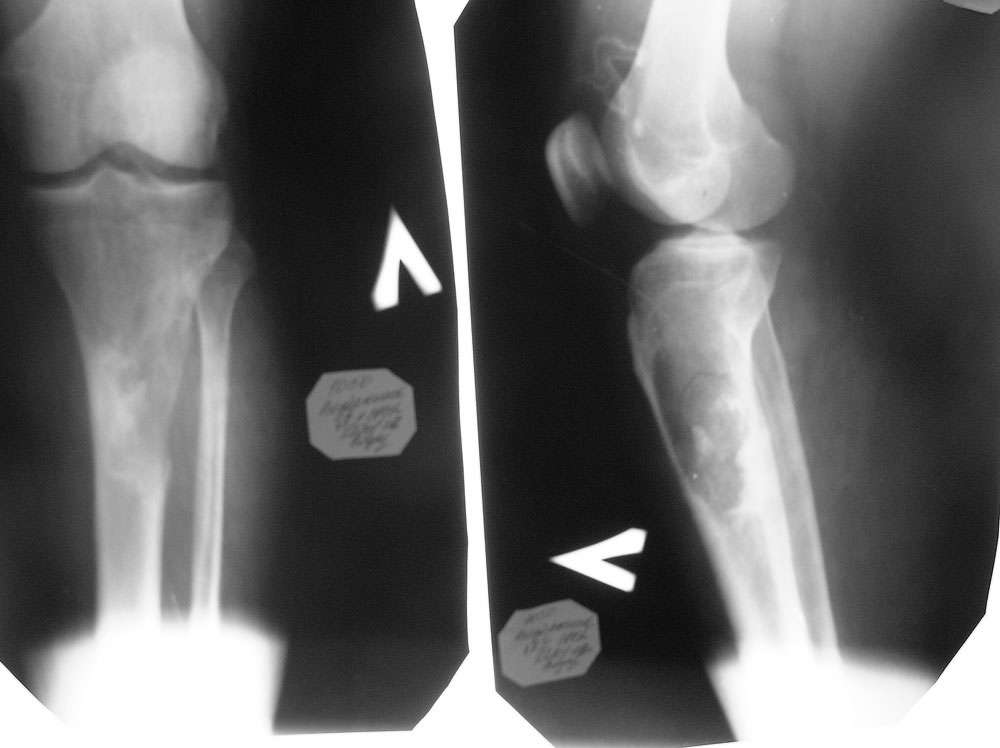
Пациент 31 года мужского пола, с патологическим незавершенным перелом 
верхней трети голени с очагом деструкции бльшого размера поступил к нам 
в клинику сегодня. Помогите определиться с тактикой лечения. Сроки 
биопсии, делать ли резекцию опухоли одновременно с биопсией и как 
замещать дефект. Поделитесь размышлениями, пожалуйста.
Виталий



----------- УМЕДХЭБС ЮБУФШ -----------
Вложение не в текстовом формате было извлечено…
Имя     : P10100042.jpg
Тип     : image/jpeg
Размер  : 35005 байтов
Описание: отсутствует
Url     : http://weborto.net:8080/pipermail/ortho/attachments/20080122/ba5759ac/attachment-0001.jpg 


Подробная информация о списке рассылки Ortho