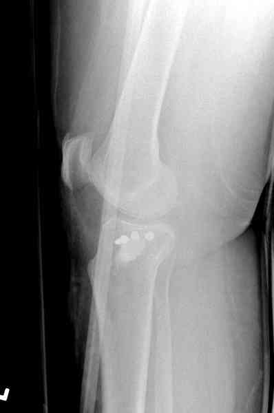
[Ortho] Остеосинтез при импрессионном переломе заднего отдела наружного мыщелка tibia?

orthoforum на weborto.net orthoforum на weborto.net
Ср Янв 23 01:07:47 YEKT 2008


Из медиального окна можно приподнять латеральную
импрессию. Фиксация тремя параллельными шурупами в
эпифизарной части над импрессией. Создается крыша,
которая предупредит коллапс. На образовавшуюся полость - костная 
пластика из аутокости или синтетический заменитель. Мы применяем 
Osteoset в 4-5 мм диаметре таблеточки или иньекционную форму Prodens.


Djoldas Kuldjanov, MD
Department of Orthopedic Surgery

----------- следущая часть -----------
Вложение не в текстовом формате было извлечено…
Имя     : 1 lat tibplateau injury.jpg
Тип     : image/jpeg
Размер  : 15379 байтов
Описание: отсутствует
Url     : http://weborto.net:8080/pipermail/ortho/attachments/20080123/261d504d/attachment-0008.jpg 
----------- следущая часть -----------
Вложение не в текстовом формате было извлечено…
Имя     : 2 lat tibplat injury.jpg
Тип     : image/jpeg
Размер  : 15985 байтов
Описание: отсутствует
Url     : http://weborto.net:8080/pipermail/ortho/attachments/20080123/261d504d/attachment-0009.jpg 
----------- следущая часть -----------
Вложение не в текстовом формате было извлечено…
Имя     : 3 lat tibplat injury.jpg
Тип     : image/jpeg
Размер  : 16177 байтов
Описание: отсутствует
Url     : http://weborto.net:8080/pipermail/ortho/attachments/20080123/261d504d/attachment-0010.jpg 
----------- следущая часть -----------
Вложение не в текстовом формате было извлечено…
Имя     : CRM lat tibplateau 2.jpg
Тип     : image/jpeg
Размер  : 23380 байтов
Описание: отсутствует
Url     : http://weborto.net:8080/pipermail/ortho/attachments/20080123/261d504d/attachment-0011.jpg 
----------- следущая часть -----------
Вложение не в текстовом формате было извлечено…
Имя     : CRM lat tibplateau 3.jpg
Тип     : image/jpeg
Размер  : 32665 байтов
Описание: отсутствует
Url     : http://weborto.net:8080/pipermail/ortho/attachments/20080123/261d504d/attachment-0012.jpg 
----------- следущая часть -----------
Вложение не в текстовом формате было извлечено…
Имя     : CRM lat tibplateau 4.jpg
Тип     : image/jpeg
Размер  : 27504 байтов
Описание: отсутствует
Url     : http://weborto.net:8080/pipermail/ortho/attachments/20080123/261d504d/attachment-0013.jpg 
----------- следущая часть -----------
Вложение не в текстовом формате было извлечено…
Имя     : CRM lat tibplateau 5.jpg
Тип     : image/jpeg
Размер  : 21782 байтов
Описание: отсутствует
Url     : http://weborto.net:8080/pipermail/ortho/attachments/20080123/261d504d/attachment-0014.jpg 
----------- следущая часть -----------
Вложение не в текстовом формате было извлечено…
Имя     : final lat.jpg
Тип     : image/jpeg
Размер  : 16691 байтов
Описание: отсутствует
Url     : http://weborto.net:8080/pipermail/ortho/attachments/20080123/261d504d/attachment-0015.jpg 


Подробная информация о списке рассылки Ortho