[Ortho] Perelom loktegovo otrоstka

orthoforum на weborto.net orthoforum на weborto.net
Ср Янв 23 23:06:05 YEKT 2008


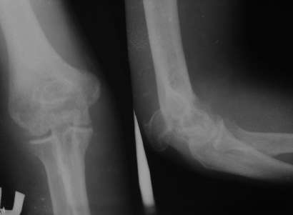
Bolnoy 4 mesyatsa nazad paluchil travmu.

Za meditsinskoy pomotschyu ne obratilsya. Cherez 4 mesyatsa 
gospitalizirovan dlya operatsiyi. Moy plan nalojit apparat Ilizarova  s 
pastepennoy kompressiyey v oblasti pereloma.


Атамурадов Латиф

Бухарская областная болъница
----------- следущая часть -----------
Вложение не в текстовом формате было извлечено…
Имя     : DSCN1769[1].jpg
Тип     : image/jpeg
Размер  : 40658 байтов
Описание: отсутствует
Url     : http://weborto.net:8080/pipermail/ortho/attachments/20080123/f05747f9/attachment-0001.jpg 


Подробная информация о списке рассылки Ortho