[Ortho] Рекурвация голени

зайцев orthoforum на weborto.net
Пн Июл 14 02:46:16 YEKST 2008


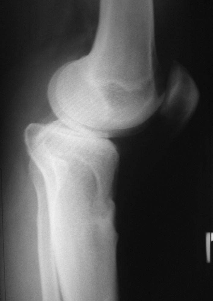
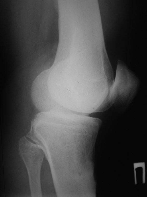
пациент наконец то объявился вновь и мы смогли выполнить новые снимки как лежа так и в нагрузке
если у вас остались силы, давайте обсудим
зайцев 
----------- следущая часть -----------
Вложение не в текстовом формате было извлечено…
Имя     : leja.jpg
Тип     : image/jpeg
Размер  : 17142 байтов
Описание: отсутствует
Url     : http://weborto.net:8080/pipermail/ortho/attachments/20080714/b21730ce/attachment-0003.jpg 
----------- следущая часть -----------
Вложение не в текстовом формате было извлечено…
Имя     : nagruzka.jpg
Тип     : image/jpeg
Размер  : 30147 байтов
Описание: отсутствует
Url     : http://weborto.net:8080/pipermail/ortho/attachments/20080714/b21730ce/attachment-0004.jpg 
----------- следущая часть -----------
Вложение не в текстовом формате было извлечено…
Имя     : obe-stoya.jpg
Тип     : image/jpeg
Размер  : 23353 байтов
Описание: отсутствует
Url     : http://weborto.net:8080/pipermail/ortho/attachments/20080714/b21730ce/attachment-0005.jpg 


Подробная информация о списке рассылки Ortho