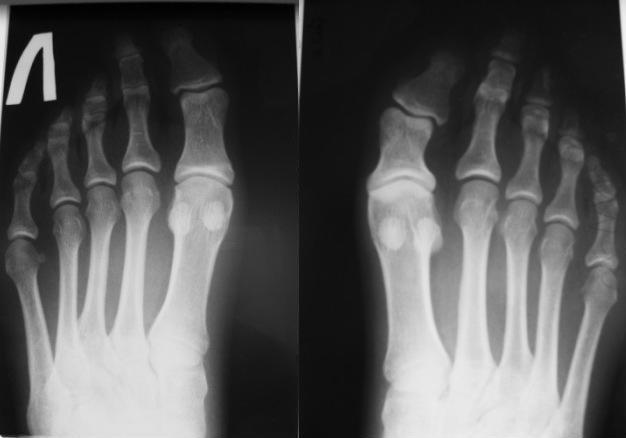
[Ortho] Дисплазия фаланги пальца стопы

Evgeniy U orthoforum на weborto.net
Ср Июл 30 23:58:40 YEKST 2008


Рентгенограммы прилагаю.
Evgeniy U
----------- следущая часть -----------
Вложение не в текстовом формате было извлечено…
Имя     : IMG_8670.jpg
Тип     : image/jpeg
Размер  : 15752 байтов
Описание: отсутствует
Url     : http://weborto.net:8080/pipermail/ortho/attachments/20080730/0403141b/attachment-0001.jpg 
----------- следущая часть -----------
Вложение не в текстовом формате было извлечено…
Имя     : IMG_867212.JPG
Тип     : image/jpeg
Размер  : 22210 байтов
Описание: отсутствует
Url     : http://weborto.net:8080/pipermail/ortho/attachments/20080730/0403141b/attachment-0001.jpeg 


Подробная информация о списке рассылки Ortho