[Ortho] Застарелый вывых головки луча

orthoforum на weborto.net orthoforum на weborto.net
Сб Мар 1 11:46:42 YEKT 2008


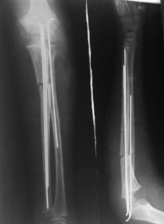
   Многоуважаемые  коллеги,  всем  большое  спасибо!!!  Да,  здесь  было 
  повреждение  Монтеджиа, когда  нарисовал  скиаграмму все  стал 
понятно. Мне  очень  понравились  рекомендации  Константина Требухина, 
только  немножко  видоизменил; я  считал  так, если  деформацию 
исправить то локт/кость должна  удлиниться, и  во вторых,  если  на 
аппарате низвести  лучевую  кость,  то может наступить позиционное 
несоответствие  в  дистальном  радиоульнарном  сочленение. 28.02.08г 
операция- шарнирная  остеотомия  локтевой  кости на  уровне  деформации, 
далее  вскрыт  плечелучевой  сустав, удалены  рубцовые тканы, после 
исправления варусной  деформации  и  создания  физиологического  изгиба 
локтевой  кости  головка луча  легко  вправилась, из  части  рубцовой 
ткани  сделана  пластика кольцевндной  связки, трансартикулярная 
фиксация  спицей, локтевая  кость  двумя  спицами.
  Еще  раз всем выражаю благодарность!
С  уважением  Абдурашид.
Abdurashid  Turaev

----------- следущая часть -----------
Вложение не в текстовом формате было извлечено…
Имя     : SP_A0141.jpg
Тип     : image/jpeg
Размер  : 10141 байтов
Описание: отсутствует
Url     : http://weborto.net:8080/pipermail/ortho/attachments/20080301/50287eca/attachment-0001.jpg 


Подробная информация о списке рассылки Ortho