[Ortho] И снова пилон

orthoforum на weborto.net orthoforum на weborto.net
Вс Мар 2 17:11:17 YEKT 2008


Уважаемые коллеги, остеосинтез малоберцовой кости при переломах пилона 
помогает решить, как минимум, 3 задачи:
1.	шинировать сегмент. При переломах типа С, как правило, остеосинтез 
большеберцовой кости выполняется по спаданию отёка и заживлению мягких 
тканей, как и говорит об этом чуть ниже  Djoldas. В этот период -- с 
момента поступления пациента в стационар до собственно остеосинтеза 
перелома пилона мы можем стабилизировать конечность или путём 
остеосинтеза малоберцовой кости, или ExFix. Естественно, одно не 
равнозначно другому, для каждого метода есть свои показания в 
зависимости от характера перелома;
2.	за счёт эффекта лигаментотаксиса восстановить правильные 
взаимоотношения в большеберцово-таранном сочленении. И действительно, я 
полностью согласен с Вами, Александр, такую же задачу мы решаем зачастую 
с помощью ExFix. И если наружная фиксация при переломе пилона является 
не методом первого этапа, а окончательным методом лечения перелома -- ни 
о каком дополнительном остеосинтезе малоберцовой кости, как правило, 
речи не идёт и идти не должно. Но, если мы решили выполнить внутреннюю 
фиксацию, желательно помнить, что остеосинтез малоберцовой кости при 
переломе пилона помогает решить и ещё одну задачу - ортопедическую:
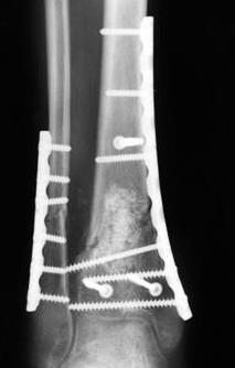
3.	стабилизировать наружный опорный комплекс голени и предотвратить 
вальгусную деформацию голеностопного сустава. Конечно, данная проблема 
не очень актуальна, или вовсе не актуальна для 43С1, но для повреждений 
типа 43С2,3, особенно в случаях, когда метафизарный дефект потребовал 
пластики, а пластину пришлось уложить по медиальной стороне -- 
остеосинтез малоберцовой кости является крайне необходимым -- привожу 
характерный пример. Но, перелом малоберцовой кости может быть и много 
проксимальнее, и его так же приходится фиксировать из этих же 
соображений. И особенно, если пациент полный. Из отечественных хирургов 
на возможность развития такого осложнения -- вальгусной деформации 
голеностопного сустава ч/з 2-3 месяца после операции при переломах типа 
43С2 в отсутствии фиксации малоберцовой кости одним из первых указал 
Виталий Дрягин из ГКБ No3 Челябинска ещё в конце 90х.
С уважением

Андрей Волна



__________ NOD32 2913 (20080301) Information __________

This message was checked by NOD32 antivirus system.
http://www.eset.com



----------- следущая часть -----------
Вложение не в текстовом формате было извлечено…
Имя     : 1.jpg
Тип     : image/jpeg
Размер  : 7852 байтов
Описание: отсутствует
Url     : http://weborto.net:8080/pipermail/ortho/attachments/20080302/b2ec219a/attachment-0001.jpg 


Подробная информация о списке рассылки Ortho