[Ortho] Ложный сустав плечевой кости

orthoforum на weborto.net orthoforum на weborto.net
Вс Мар 2 17:15:23 YEKT 2008


Помогите, пожалуйста, определиться с тактикой!
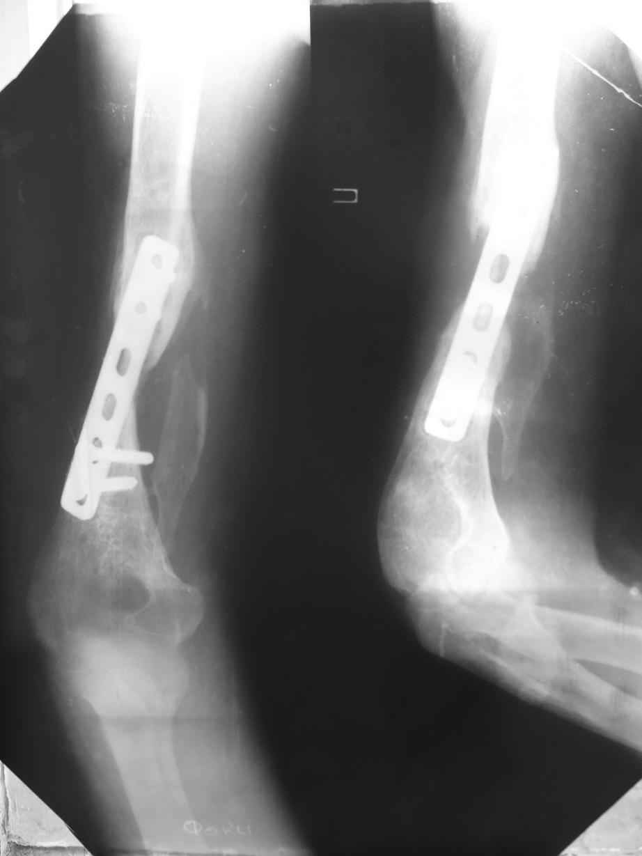
Поступил больной с ложным суставом плечевой кости...

Перелом был 2 года назад. Лечился в аппарате 8 месяцев, консолидации не 
произошло. В феврале 2007 выполнена костная аутопластика, фиксация 
пластиной (на базе одной из ИК). Сейчас сохраняется ложный сустав, плечо 
укорочено на 3 см, контрактура обоих смежных суставов, атрофия мышц 
плеча и плечевого пояса справа. Явлений остеомиелита не отмечалось.
Больной - осужденный, сидеть ему до 2012 года.

Рябинкина Татьяна
ООБ, Екатеринбург


----------- следущая часть -----------
Вложение не в текстовом формате было извлечено…
Имя     : P13.JPG
Тип     : image/jpeg
Размер  : 36322 байтов
Описание: отсутствует
Url     : http://weborto.net:8080/pipermail/ortho/attachments/20080302/80605c69/attachment-0001.jpeg 


Подробная информация о списке рассылки Ortho