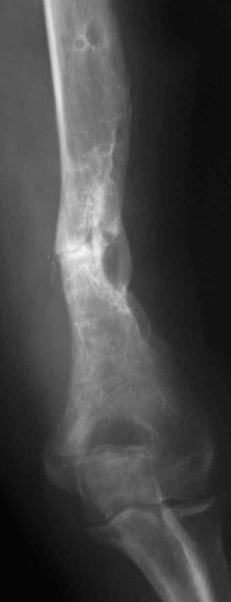
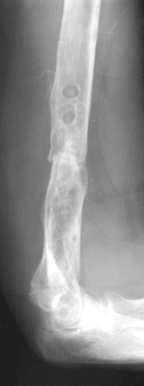
[Ortho] ложный сустав после остеосинтеза плеча

orthoforum на weborto.net orthoforum на weborto.net
Пн Мар 3 02:49:55 YEKT 2008


Уважаемый Алексей Минервин!
В подобном случае мы бы применили  чрескостный остеосинтез. Пример - в
приложении.

Всего наилучшего,
Л.Соломин

-- Leonid N.Solomin, MD, PhD
Head of ExFix Department
R.R.Vreden Russian Research
Institute of Traumatology and Orthopedics
8 Baykova Str., St.Petersburg, 195427, Russia

----------- следущая часть -----------
Вложение не в текстовом формате было извлечено…
Имя     : 0.jpg
Тип     : image/jpeg
Размер  : 16141 байтов
Описание: отсутствует
Url     : http://weborto.net:8080/pipermail/ortho/attachments/20080303/105ba30b/attachment-0008.jpg 
----------- следущая часть -----------
Вложение не в текстовом формате было извлечено…
Имя     : 1.jpg
Тип     : image/jpeg
Размер  : 25998 байтов
Описание: отсутствует
Url     : http://weborto.net:8080/pipermail/ortho/attachments/20080303/105ba30b/attachment-0009.jpg 
----------- следущая часть -----------
Вложение не в текстовом формате было извлечено…
Имя     : 2.jpg
Тип     : image/jpeg
Размер  : 27147 байтов
Описание: отсутствует
Url     : http://weborto.net:8080/pipermail/ortho/attachments/20080303/105ba30b/attachment-0010.jpg 
----------- следущая часть -----------
Вложение не в текстовом формате было извлечено…
Имя     : 3.jpg
Тип     : image/jpeg
Размер  : 24420 байтов
Описание: отсутствует
Url     : http://weborto.net:8080/pipermail/ortho/attachments/20080303/105ba30b/attachment-0011.jpg 
----------- следущая часть -----------
Вложение не в текстовом формате было извлечено…
Имя     : 4.jpg
Тип     : image/jpeg
Размер  : 26078 байтов
Описание: отсутствует
Url     : http://weborto.net:8080/pipermail/ortho/attachments/20080303/105ba30b/attachment-0012.jpg 
----------- следущая часть -----------
Вложение не в текстовом формате было извлечено…
Имя     : 5.jpg
Тип     : image/jpeg
Размер  : 22608 байтов
Описание: отсутствует
Url     : http://weborto.net:8080/pipermail/ortho/attachments/20080303/105ba30b/attachment-0013.jpg 
----------- следущая часть -----------
Вложение не в текстовом формате было извлечено…
Имя     : 6.jpg
Тип     : image/jpeg
Размер  : 38212 байтов
Описание: отсутствует
Url     : http://weborto.net:8080/pipermail/ortho/attachments/20080303/105ba30b/attachment-0014.jpg 
----------- следущая часть -----------
Вложение не в текстовом формате было извлечено…
Имя     : 7.jpg
Тип     : image/jpeg
Размер  : 39519 байтов
Описание: отсутствует
Url     : http://weborto.net:8080/pipermail/ortho/attachments/20080303/105ba30b/attachment-0015.jpg 


Подробная информация о списке рассылки Ortho