[Ortho] (без темы)

Дмитрий Бекреев bekrey на mail.ru
Вт Мар 4 09:15:28 YEKT 2008


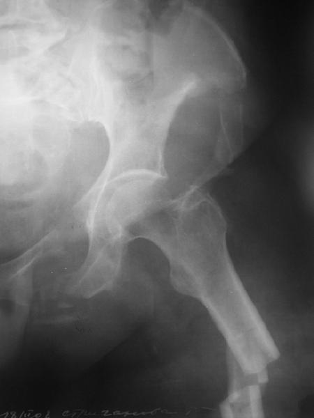
Здравствуйте уважаемые коллеги! Поступила пациентка, 61г, через 1 месяц после травмы, с двусторонним ротационно-нестабильным повреждением тазового кольца: перелом боковых масс крестца с обеих сторон, переломы лонной и седалищной костей слева, отрывные переломы передних остей левой подвздошной кости, сегментарный перелом левой подвздошной кости. Кроме того у пациентки имеется сегментарный перелом левого бедра.
Перелом бедра не вызывает вопросов - планируем блокируемый остеосинтез стержнем, а вот при обсуждении тактики лечения переломов костей таза возник вопрос о необходимости синтеза остей подвздошной кости, учитывая сроки с момента травмы и  наличие остеопороза могут возникнуть технические сложности. Если у кого-нибудь  собственный опыт или ссылки на литературу об отдаленных результатах при не восстановлении сгибательного аппарата бедра?



----------- следущая часть -----------
Вложение не в текстовом формате было извлечено…
Имя     : get_image3.jpg
Тип     : image/jpeg
Размер  : 72570 байтов
Описание: отсутствует
Url     : http://weborto.net:8080/pipermail/ortho/attachments/20080304/d97e80cd/attachment-0004.jpg 
----------- следущая часть -----------
Вложение не в текстовом формате было извлечено…
Имя     : get_image2.jpg
Тип     : image/jpeg
Размер  : 16820 байтов
Описание: отсутствует
Url     : http://weborto.net:8080/pipermail/ortho/attachments/20080304/d97e80cd/attachment-0005.jpg 
----------- следущая часть -----------
Вложение не в текстовом формате было извлечено…
Имя     : get_image1.jpg
Тип     : image/jpeg
Размер  : 26428 байтов
Описание: отсутствует
Url     : http://weborto.net:8080/pipermail/ortho/attachments/20080304/d97e80cd/attachment-0006.jpg 
----------- следущая часть -----------
Вложение не в текстовом формате было извлечено…
Имя     : get_image.jpg
Тип     : image/jpeg
Размер  : 29105 байтов
Описание: отсутствует
Url     : http://weborto.net:8080/pipermail/ortho/attachments/20080304/d97e80cd/attachment-0007.jpg 


Подробная информация о списке рассылки Ortho