[Ortho] Политравма - два бедра и голень

Антон Лебединец orthoforum на weborto.net
Пн Мар 10 12:01:57 YEKT 2008


Больной 29 л 23 февраля на мопеде въехал в легковой автомобиль (естественно, больной
пьяный). Поступил с диагнозом: закрытый перелом правого бедра в с/з-н/з, открытый перелом
правой голени в в/з (рана в проекции перелома до 3 см), открытый оскольчатый перелом левого
бедра в с/з с дефектом костной ткани (рана до 12 см по наружной поверхности бедра). ПО
дежурству - ПХО ран, стержневые аппараты на оба бедра, аппарат Илизарова на правую голень. По
стабилизации состояния - домонтаж аппарата Илизарова с окончательной репозицией. Спустя 2
недели - открытая репозиция отломков правого бедра, интрамедуллярный остеосинтез
стержнем с дистальным блокированием. С правой ногой разобрались. Вопрос встает о том что
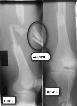
делать с левой. При ревизии раны левого бедра (при поступлении) удален торчащий из раны
свободный осколок до 6х3 см,загрязненный травой,пылью.Со слов скорой - на месте
происшествия вроде как были еще мелкие костные осколки. Осколки что на снимке лежат по
внутренней поверхности бедра, связаны с м/тканями, дефект кости до 7-8 см по длине. Массы
осколков явно не хватает для его заполнения. Кроме того массивное скелетирование основных
отломков (до 7-10 см в обе стороны). Все раны зажили без проблем. Наши планы - открытая
репозиция левого бедра, ИМО с укорочением. Потом когда (если)срастется пусть занимаются
реконструктивными операциями. Буду рад услышать ваши мнения, предложения по данному
случаю. С уважением А. В. Л.
Антон Лебединец

----------- следущая часть -----------
Вложение не в текстовом формате было извлечено…
Имя     : 6.jpg
Тип     : image/jpeg
Размер  : 15754 байтов
Описание: отсутствует
Url     : http://weborto.net:8080/pipermail/ortho/attachments/20080310/a4789b78/attachment-0001.jpg 


Подробная информация о списке рассылки Ortho