[Ortho] застарелое повреждение голеностопного сустава

Djoldas Kuldjanov orthoforum на weborto.net
Пн Мар 10 14:13:52 YEKT 2008


Максим,

Если больному показан артродез, то какой метод выбрали бы для
артродезирования голеностопного сустава? 

Мне кажется, что невысокие требования больного не являются показанием
для радикальных решений, и поэтому ваши аргументы по показаниям к
артродезированию звучат не так убедительно.  

Иногда "доброжелатели врачи" из-за незнания современной тактики
лечения дают противоречивый совет. 
Для убежденности больных в безуспешности консервативного лечения
требуется время, в результате чего происходит потеря конгруэнтности
сустава, что может привести к ранним артрозам.

Больному всего 42, сохранный сустав, за 1.5-2 месяца сустав еще не
успел "выработаться". Навряд ли консервативное лечение на скелетном
вытяжении или гипс, как рекомендуют наши коллеги,
помогут восстановить сустав.

Каждый, представляющий что-то на сайте, особенно из крупных центров,
на которых равняются ЦРБ и все остальные, должен знать, что без
полного обследования со стандартными снимками нет смысла
дискутировать, теряется интерес к случаю.

>"По-поводу артродеза, мысль возникла после прочтения дисера А.М.
>Лаврукова. Обнаружил интересные вещи, например, при
>восстановительных операциях на голеностопе с хорошим результатом
>(как правило наиболее "простые" повреждения"

По-моему, не многим известно содержание диссертации и даже если она
написана на высоком уровне, вряд ли там была рассмотрена сегодняшняя
восстановительная техника.
В век стремительного развития ортопедии даже некоторые пятигодичные
данные считаются уже устаревшими. 

В данный момент больной из категории "фиксируемых переломов"
переходит в категорию "плановых", т.е. сейчас без спешки, согласно
"стандартных" рентгенологических обследований можно планировать
восстановление.
К тому времени несросщиеся кости консолидируются,
потом легче произвести расчеты по высоте малоберцовой и выбору типа остеотомии.

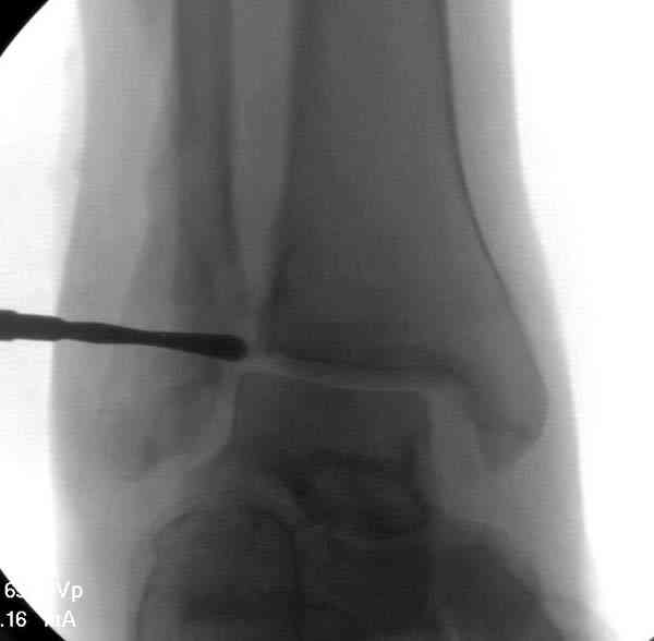
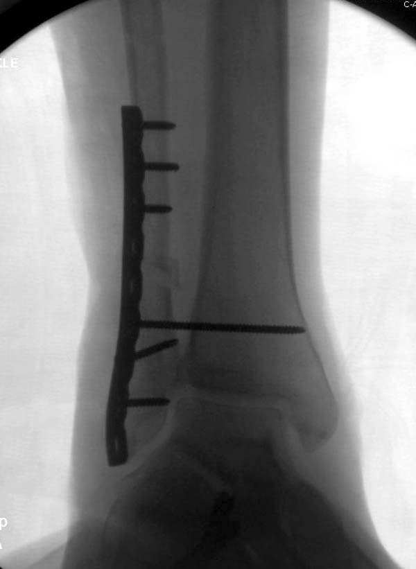
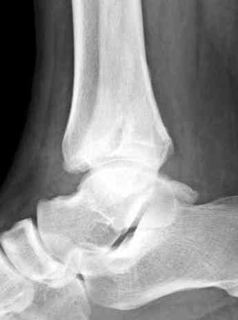
Здесь представлено решение похожей проблемы. Больной в течение года
лечился консервативными мерами, и боли в голеностопе были основным
показанием к операции.  

Проведена обычная стандартная процедура по исправлению
неудовлетворительного состояния голеностопного сустава, где кроме
удлинения малоберцовой с применением compression tension device за
проксимальный конец пластины, проведено замещение трикортикальным
графтом из крыла, освобождение синдесмоза и медиальной щели от
фибротических масс с фиксацией.

Не могу дать ссылку на сравнительную литературу "артродез против
восстановления", но можешь поверить мне, что несмотря на
продолжительный период до восстановления сустава, после таких
операции больные чувствует намного легче чем после расхваливаемого
артродеза.    



Djoldas Kuldjanov, MD
Department of Orthopedic Surgery
St. Louis University Medical Center
----------- следущая часть -----------
Вложение не в текстовом формате было извлечено…
Имя     : 2 ankle recon.jpg
Тип     : image/jpeg
Размер  : 19964 байтов
Описание: отсутствует
Url     : http://weborto.net:8080/pipermail/ortho/attachments/20080310/f4007717/attachment-0010.jpg 
----------- следущая часть -----------
Вложение не в текстовом формате было извлечено…
Имя     : 2 ankle recon introp.jpg
Тип     : image/jpeg
Размер  : 17503 байтов
Описание: отсутствует
Url     : http://weborto.net:8080/pipermail/ortho/attachments/20080310/f4007717/attachment-0011.jpg 
----------- следущая часть -----------
Вложение не в текстовом формате было извлечено…
Имя     : 3 ankle recon lat.jpg
Тип     : image/jpeg
Размер  : 18066 байтов
Описание: отсутствует
Url     : http://weborto.net:8080/pipermail/ortho/attachments/20080310/f4007717/attachment-0012.jpg 
----------- следущая часть -----------
Вложение не в текстовом формате было извлечено…
Имя     : 4 osteotomy introp.jpg
Тип     : image/jpeg
Размер  : 21852 байтов
Описание: отсутствует
Url     : http://weborto.net:8080/pipermail/ortho/attachments/20080310/f4007717/attachment-0013.jpg 
----------- следущая часть -----------
Вложение не в текстовом формате было извлечено…
Имя     : 6 distraction introp.jpg
Тип     : image/jpeg
Размер  : 21402 байтов
Описание: отсутствует
Url     : http://weborto.net:8080/pipermail/ortho/attachments/20080310/f4007717/attachment-0014.jpg 
----------- следущая часть -----------
Вложение не в текстовом формате было извлечено…
Имя     : 7 distraction  introp.jpg
Тип     : image/jpeg
Размер  : 30784 байтов
Описание: отсутствует
Url     : http://weborto.net:8080/pipermail/ortho/attachments/20080310/f4007717/attachment-0015.jpg 
----------- следущая часть -----------
Вложение не в текстовом формате было извлечено…
Имя     : 10 lat introp.jpg
Тип     : image/jpeg
Размер  : 28431 байтов
Описание: отсутствует
Url     : http://weborto.net:8080/pipermail/ortho/attachments/20080310/f4007717/attachment-0016.jpg 
----------- следущая часть -----------
Вложение не в текстовом формате было извлечено…
Имя     : 11 ankle recon introp.jpg
Тип     : image/jpeg
Размер  : 28082 байтов
Описание: отсутствует
Url     : http://weborto.net:8080/pipermail/ortho/attachments/20080310/f4007717/attachment-0017.jpg 
----------- следущая часть -----------
Вложение не в текстовом формате было извлечено…
Имя     : 12 ankle recon introp.jpg
Тип     : image/jpeg
Размер  : 28137 байтов
Описание: отсутствует
Url     : http://weborto.net:8080/pipermail/ortho/attachments/20080310/f4007717/attachment-0018.jpg 
----------- следущая часть -----------
Вложение не в текстовом формате было извлечено…
Имя     : ankle recon 0.jpg
Тип     : image/jpeg
Размер  : 17086 байтов
Описание: отсутствует
Url     : http://weborto.net:8080/pipermail/ortho/attachments/20080310/f4007717/attachment-0019.jpg 


Подробная информация о списке рассылки Ortho