[Ortho] Несращение ладьевидной кости после остеосинтеза компрессирущим винтом (nonunion of navicular bone after osteosynthesis with compression screw)

Данил Близнец orthoforum на weborto.net
Пн Мар 10 20:32:13 YEKT 2008


Уважаемые коллеги!

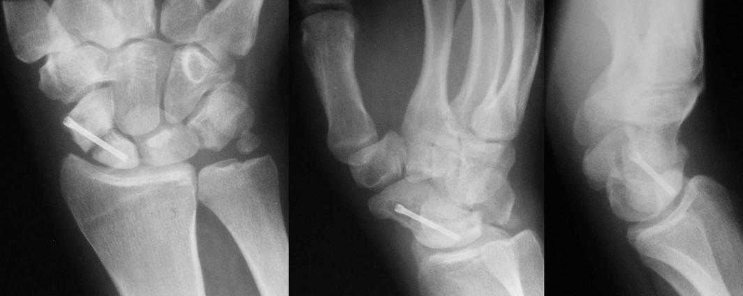
Мужчина 26 лет, профессиональный мотогонщик, во время показательных
выступлений упал с мотоцикла. Поступил на третьи сутки после травмы с
диагнозом: чрезладьевидно-перилунарный вывих правой кисти, перелом
шиловидного отростка правой локтевой кости. При поступлении закрытое
ручное вправление вывиха, гипсовая фиксация. На десятые сутки после
травмы выполнена операция: открытый остеосинтез ладьевидной кости
компрессирующим винтом Autofix от Small Bones Innovations. Состояние
спустя пять месяцев после операции представлено на иллюстрациях,
беспокоят боль и ограничение движений в лучезапястном суставе.
Вопросы: 1) Как расценивать данное состояние – как несращение или как
ложный сустав? 
2) Какой вариант оперативного лечения предпочтителен в данном случае?
а) Закрытый реостеосинтез ладьевидной кости страйкеровским винтом TwinFix?
б) Открытый реостеосинтез ладьевидной кости с костной аутопластикой?
в) Клиновидная декомпрессивная остеотомия шиловидного отростка
лучевой кости по Лаврукову с реостеосинтезом ладьевидной кости или
без него?  
Ваши предложения?

С уважением, Данил Близнец, Екатеринбург, Россия.

Dear colleagues!

Man 26 years old, professional motorcycle racer during show fell down
the motorcycle. In three days transscaphoperilunate dislocation of
the right hand with fracture of ulna styloid process were diagnosed,
closed reduction and cast fixation were performed. In ten days open
osteosynthesis of navicular bone with compression screw AutoFix by
Small Bones Innovations was carried out. Status in five and a half
monthes after operation is presented on the illustrations.
Patient complains of pain and motion deficiency in wrist joint.
I have the following questions:
1) What is this state? Nonunion or pseudoarthrosis?
2) What variant of surgical treatment is preferable in this case?
a) Closed reosteosynthesis of navicular bone with compression screw TwinFix by Stryker?
b) Open reosteosynthesis of navicular bone in combination with bone grafting?
c) Decompressive cuneiform osteotomy of  radius styloid process
according to Lavrukov in combination with reosteosynthes of navicular
bone or without that?  
What are your suggestions?

Sincerely yours, Danil Bliznets, Ekaterinburg, Russia.

Данил Близнец
----------- УМЕДХЭБС ЮБУФШ -----------
Вложение не в текстовом формате было извлечено…
Имя     : ro.jpg
Тип     : image/jpeg
Размер  : 42092 байтов
Описание: отсутствует
Url     : http://weborto.net:8080/pipermail/ortho/attachments/20080310/41dd2e72/attachment-0001.jpg 


Подробная информация о списке рассылки Ortho