[Ortho] Застарелый вывых головки луча

Andre_Pakh apakh на nvkz.net
Пн Мар 10 20:38:54 YEKT 2008


Hello orthoforum,

Дорогих женщин с 8 Марта!

Wednesday, February 27, 2008, 2:17:11 AM, you wrote:

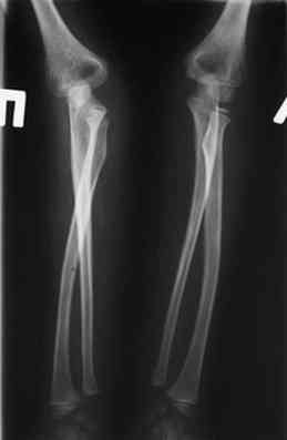
own> Мальчик 10 лет, из отдаленного района, 3 года назад...
оперировали подобный случай около 6 мес назад. Отличие только в одном-
давность травмы была до 2х лет.
Использовали методику описанную в "Pediatric fractures and
dislocations" Lutz von Laer, M.D.
Артротомия, иссечение рубцов, остатков кольцевидной связки. На
проксимальный отдел локтевой кости стержневой аппарат (рекомендуют
Compact II выпущеный Stryker Howmedica, но за неименеем...),
остеотомия проксимального отдела локтевой кости, вправление головки
лучевой кости, замыкание аппарата, проверка стабильности головки
лучевой кости в движении, ушивание без пластики кольцевидной связки.
Рекомендуются ранние спонтанные движения, ЛФК на лучелоктевой сустав.
Аппарат рекомендуют на 2 мес.

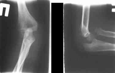
Данную методику применили впервые.  После артролиза очевидная
нестабильность головки луча. После остеотомии локтевой, вправления и
стабилизации аппарата головка луча при движениях на месте. Первые
впечатления- "Либо чудо,либо фокус" (с) :))

У нас были проблемы. Скорее всего связанные с использаванием
стержневого аппарата с простым соединением. В Компакте же скорее всего
шарнирное, со свободой движения во всех плоскостях, что конечно,
значительно должно упрощать фиксацию в правильном положении.

1 подвывих головки лучевой кости в положении супинации-
через 2 недели после операции- под ЭОП: аппарат разблокирован,
повторное вправление головки, стабилизация аппарата.

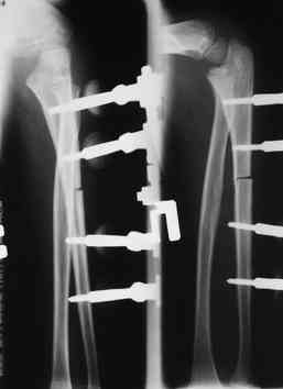
2 По снятии аппарата через 2 мес после операции рефрактура в месте
остеотомии(на фоне активного ротационного движения)- под контролем ЭОП выполнен
интрамедуллярный остеосинтез TEN. Положение головки луча стабильное.

Последних снимков к сожалению нет. Больной иногородний, но скоро
появится и снимки предоставим.

Вот такой был случай :)


-- 
Best regards,
Андрей Пах \Травматолого-ортопедическое отделение N3(детское)МЛПУ
 ГКБ╧1 г Новокузнецк\                         mailto:apakh на nvkz.net
----------- следущая часть -----------
Вложение не в текстовом формате было извлечено…
Имя     : 1.JPG
Тип     : image/jpeg
Размер  : 20407 байтов
Описание: отсутствует
Url     : http://weborto.net:8080/pipermail/ortho/attachments/20080310/36f0a87a/attachment-0006.jpeg 
----------- следущая часть -----------
Вложение не в текстовом формате было извлечено…
Имя     : 2.JPG
Тип     : image/jpeg
Размер  : 19997 байтов
Описание: отсутствует
Url     : http://weborto.net:8080/pipermail/ortho/attachments/20080310/36f0a87a/attachment-0007.jpeg 
----------- следущая часть -----------
Вложение не в текстовом формате было извлечено…
Имя     : 4.JPG
Тип     : image/jpeg
Размер  : 44438 байтов
Описание: отсутствует
Url     : http://weborto.net:8080/pipermail/ortho/attachments/20080310/36f0a87a/attachment-0008.jpeg 
----------- следущая часть -----------
Вложение не в текстовом формате было извлечено…
Имя     : 5.JPG
Тип     : image/jpeg
Размер  : 20865 байтов
Описание: отсутствует
Url     : http://weborto.net:8080/pipermail/ortho/attachments/20080310/36f0a87a/attachment-0009.jpeg 
----------- следущая часть -----------
Вложение не в текстовом формате было извлечено…
Имя     : после_ опер_ 2_нед.JPG
Тип     : image/jpeg
Размер  : 21995 байтов
Описание: отсутствует
Url     : http://weborto.net:8080/pipermail/ortho/attachments/20080310/36f0a87a/attachment-0010.jpeg 
----------- следущая часть -----------
Вложение не в текстовом формате было извлечено…
Имя     : после_опер_2мес.JPG
Тип     : image/jpeg
Размер  : 20401 байтов
Описание: отсутствует
Url     : http://weborto.net:8080/pipermail/ortho/attachments/20080310/36f0a87a/attachment-0011.jpeg 


Подробная информация о списке рассылки Ortho