[Ortho] Ложный сустав плечевой кости

Djoldas Kuldjanov orthoforum на weborto.net
Ср Мар 12 01:03:54 YEKT 2008


Уважаемая Татьяна,

Как видно из выступлений коллег, способы фиксации ложного сустава
плеча могут быть различными, кто-то предпочитает аппаратом Илизарова
(Соломин), пластинами (Волна) или интрамедуллярным гвоздем (Челноков).

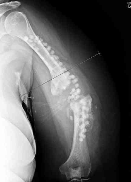
Когда разбирался случай на сайте, и у нас была больная с похожей
патологией, ложный сустав после поперечного перелома, леченного год
назад где-то и кем-то в другом месте.  
Мы не стали делать провокационный метод, который предложил Корнеев
для лечения - применение анаболических стероидов - ретаболила, из-за
его бессмысленности, также не согласились с его теорией, что любая
операция заблокирует суставы, а наоборот, провели жесткую фиксацию
пластиной для раннего восстановления.    

Первичную пластину убрали недели 6 назад из переднего оригинального
доступа, и из-за подозрительности тканей вокруг пластины, решили
провести реконструкцию поэтапно.  
После промывки и дебридмента для уверенности уложили антибиотический
цемент. Культура из раны в последующем была отрицательная.

Хотя сам не стороннник применения более массивных имплантов для
плеча, но для этого случая сделали исключение. На снимке 4А диаметр
мягких ткани около 20 см, при весе больной более 135 кг, и также
выступление Андрея Волны подстегнуло к применению более массивной 4.5
мм локинг пластины.   

Биологические стимуляторы типа Synthes chronOS мы применяем только
для закрытия дефекта в закрытом пространстве, например в тибиал
плато, пилоне и ацетабулярных переломах.
Несмотря на то, что компания рекомендует, что препарат является
остеоиндуктивным, но мы считаем, что препарат надо применять для
заполнения дефектов, потому что "indicated for use in bony voids or
gaps that are not intrinsic to the stability of the bony structure.
chronOS is indicated for use treatment of bony defects created
surgically or through traumatic injury". 
А для стимулирования мы применили массу из состава: OP1 с
деминерализованной костью, добавив к ним еще красную часть,
приготовленную из крови больной. Взятая перед операцией кровь в
количестве 80 мл провели через центрифугу и без сывороточной части
красную матрицу добавили к остальным. 
С такой массой наверное ложный сустав "over killed", но надеюсь,
что-то из них при такой фиксации окажет стимулирующее действие.


Djoldas Kuldjanov, MD
Department of Orthopedic Surgery
St. Louis University Medical Center
Djoldas Kuldjanov



__________ NOD32 2938 (20080311) Information __________

This message was checked by NOD32 antivirus system.
http://www.eset.com
----------- следущая часть -----------
Вложение не в текстовом формате было извлечено…
Имя     : 1 nonunion 2.jpg
Тип     : image/jpeg
Размер  : 18132 байтов
Описание: отсутствует
Url     : http://weborto.net:8080/pipermail/ortho/attachments/20080312/13204857/attachment-0006.jpg 
----------- следущая часть -----------
Вложение не в текстовом формате было извлечено…
Имя     : 2 nonunion.jpg
Тип     : image/jpeg
Размер  : 19138 байтов
Описание: отсутствует
Url     : http://weborto.net:8080/pipermail/ortho/attachments/20080312/13204857/attachment-0007.jpg 
----------- следущая часть -----------
Вложение не в текстовом формате было извлечено…
Имя     : 4A nonunion soft tissue.jpg
Тип     : image/jpeg
Размер  : 18265 байтов
Описание: отсутствует
Url     : http://weborto.net:8080/pipermail/ortho/attachments/20080312/13204857/attachment-0008.jpg 
----------- следущая часть -----------
Вложение не в текстовом формате было извлечено…
Имя     : 8 nonunion crm 4.jpg
Тип     : image/jpeg
Размер  : 13048 байтов
Описание: отсутствует
Url     : http://weborto.net:8080/pipermail/ortho/attachments/20080312/13204857/attachment-0009.jpg 
----------- следущая часть -----------
Вложение не в текстовом формате было извлечено…
Имя     : 14 nonunion final 2.jpg
Тип     : image/jpeg
Размер  : 16293 байтов
Описание: отсутствует
Url     : http://weborto.net:8080/pipermail/ortho/attachments/20080312/13204857/attachment-0010.jpg 
----------- следущая часть -----------
Вложение не в текстовом формате было извлечено…
Имя     : 15 nonunion final.jpg
Тип     : image/jpeg
Размер  : 13257 байтов
Описание: отсутствует
Url     : http://weborto.net:8080/pipermail/ortho/attachments/20080312/13204857/attachment-0011.jpg 


Подробная информация о списке рассылки Ortho