[Ortho] Сустав Лисфранка

Djoldas Kuldjanov orthoforum на weborto.net
Чт Мар 13 01:04:59 YEKT 2008


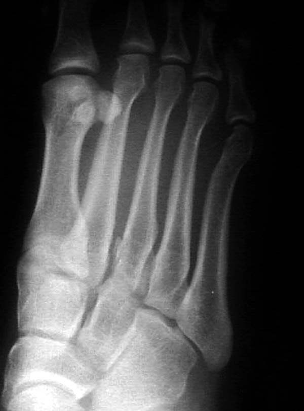
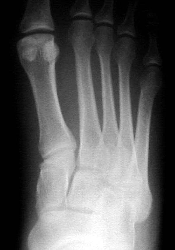
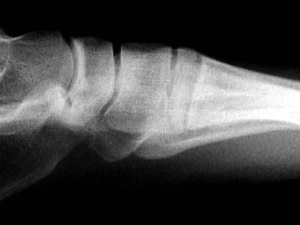
Ренген снимки прислал один из моих коллег из бывшего союза, просит совета.
К нему в клинику обратился с жалобами 24 летний
студент, получил травму две недели назад катаясь на скейтинг борд.

Ходить прихрамываяь. Небольшая отечность на тыле стопы, неврологических и сосудистых изменений нет.
Подскажите, что предпринимать больному? Снимки представлены.


Djoldas Kuldjanov, MD
Department of Orthopedic Surgery
St. Louis University Medical Center
----------- следущая часть -----------
Вложение не в текстовом формате было извлечено…
Имя     : AP 2.jpg
Тип     : image/jpeg
Размер  : 39859 байтов
Описание: отсутствует
Url     : http://weborto.net:8080/pipermail/ortho/attachments/20080313/9fe7bf74/attachment-0003.jpg 
----------- следущая часть -----------
Вложение не в текстовом формате было извлечено…
Имя     : AP 3.jpg
Тип     : image/jpeg
Размер  : 36674 байтов
Описание: отсутствует
Url     : http://weborto.net:8080/pipermail/ortho/attachments/20080313/9fe7bf74/attachment-0004.jpg 
----------- следущая часть -----------
Вложение не в текстовом формате было извлечено…
Имя     : lat.jpg
Тип     : image/jpeg
Размер  : 21642 байтов
Описание: отсутствует
Url     : http://weborto.net:8080/pipermail/ortho/attachments/20080313/9fe7bf74/attachment-0005.jpg 


Подробная информация о списке рассылки Ortho