[Ortho] Сустав Лисфранка

Denis Rimashevskiy denis.rimashevskiy на stryker.com
Чт Мар 13 13:46:42 YEKT 2008


Здравствуйте!
. 
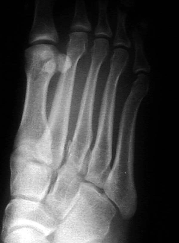
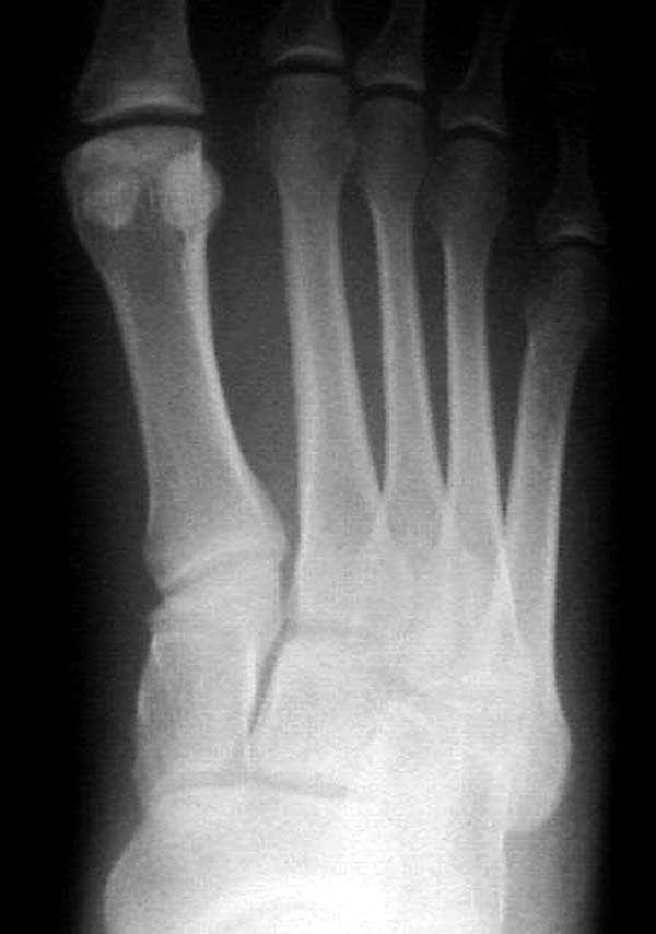
По снимкам нельзя исключить разрыв связки Лисфранка (связки между 
медиальной клиновидной костью и основанием второй плюсневой). Помогает в 
диагностике клиника (наличие изолированной гематомы на подошвенной 
поверхности стопы) и МРТ картина. Если связка повреждена - необходимо 
оперативное лечение. 
Денис Римашевский 





"Djoldas Kuldjanov" <orthoforum на weborto.net>
Sent by: ortho-bounces на weborto.net
03/12/2008 11:04 PM
Please respond to Orthoforum
 
        To:     ortho на weborto.net
        cc: 
        Subject:        [Ortho] Сустав Лисфранка


Ренген снимки прислал один из моих коллег из бывшего союза, просит совета.
К нему в клинику обратился с жалобами 24 летний
студент, получил травму две недели назад катаясь на скейтинг борд.

Ходить прихрамываяь. Небольшая отечность на тыле стопы, неврологических и 
сосудистых изменений нет.
Подскажите, что предпринимать больному? Снимки представлены.


Djoldas Kuldjanov, MD
Department of Orthopedic Surgery
St. Louis University Medical Center
_______________________________________________
Ortho mailing list
Ortho на weborto.net
http://weborto.net:8080/mailman/listinfo/ortho


----------- следущая часть -----------
Вложение в формате HTML было извлечено&hellip;
URL: http://weborto.net:8080/pipermail/ortho/attachments/20080313/77f58134/attachment-0001.htm 
----------- следущая часть -----------
Вложение не в текстовом формате было извлечено&hellip;
Имя     : AP 2.jpg
Тип     : image/jpeg
Размер  : 39859 байтов
Описание: отсутствует
Url     : http://weborto.net:8080/pipermail/ortho/attachments/20080313/77f58134/attachment-0003.jpg 
----------- следущая часть -----------
Вложение не в текстовом формате было извлечено&hellip;
Имя     : AP 3.jpg
Тип     : image/jpeg
Размер  : 36674 байтов
Описание: отсутствует
Url     : http://weborto.net:8080/pipermail/ortho/attachments/20080313/77f58134/attachment-0004.jpg 
----------- следущая часть -----------
Вложение не в текстовом формате было извлечено&hellip;
Имя     : lat.jpg
Тип     : image/jpeg
Размер  : 21642 байтов
Описание: отсутствует
Url     : http://weborto.net:8080/pipermail/ortho/attachments/20080313/77f58134/attachment-0005.jpg 


Подробная информация о списке рассылки Ortho