[Ortho] Несращение ладьевидной кости после остеосинтез

Екатерина Лаврукова orthoforum на weborto.net
Пт Мар 14 05:01:29 YEKT 2008


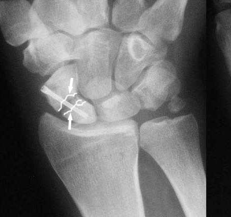
Ув. Данил! По моему мнению все-таки ложный сустав -склероз отломков (приложение), 5 мес, диастаз. Для подтверждения можно выполнить КТ кистевого сустава (формирование замыкательной пластинки, склероз концов отломков и т.д.,), а так же по КТ можно выявить сохраняется ли подвывих каких-либо костей запястья или нет. При наличии ложного сустава целесообразно будет удалить винт,обработать концы отломков, разрушив замыкательные пластинки и  выполнить остеосинтез ладьевидной кости винтом с костной аутопластикой зоны псевдоартроза (либо гидроксиаппатитом...) Гипс 1,5 мес мин. Снимков найти сейчас не получилось. позже дошлю.
 С уважением Катя
----------- следущая часть -----------
Вложение не в текстовом формате было извлечено…
Имя     : 1016.jpg
Тип     : image/jpeg
Размер  : 35379 байтов
Описание: отсутствует
Url     : http://weborto.net:8080/pipermail/ortho/attachments/20080314/d862aa6c/attachment-0001.jpg 


Подробная информация о списке рассылки Ortho