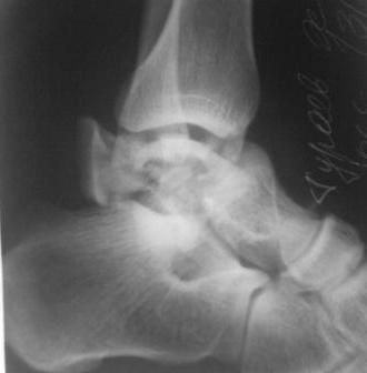
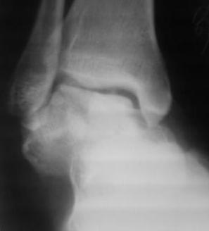
[Ortho] Оскольчатый перелом таранной кости

Abdurashid Turaev orthoforum на weborto.net
Пт Мар 14 05:03:36 YEKT 2008


 Поступил  б-ной, 1965г.р., вчера  упал  с высоты. В травм. пункте
произведена репозиция. наложена  гипсовая повязка. Обратился с сильными
болями в  стопе, срочно  рассечена гипсовая  повязка, выраженный
отек стопы, сплошные  фликтены, конечность  уложена  на  шину
Белера, скелетное  вытяжение за  пяточную  кость, антибиотики,
анальгетики, клексан, трентал.
  Уважаемые  коллеги, что  делать?
  1.Сразу  готовиться  к  артродезу?
  2.Или  постараться  открыто  собрать осколки?(тогда вероятность
  асеп.некроза большая)
  3.Дистракцион.остеосинтез  А.В.Ф.,и дальше  время покажет?
   С  уважением  Абдурашид.
 Р-снимки  прилагаются.
----------- следущая часть -----------
Вложение не в текстовом формате было извлечено…
Имя     : SP_A0163.jpg
Тип     : image/jpeg
Размер  : 8643 байтов
Описание: отсутствует
Url     : http://weborto.net:8080/pipermail/ortho/attachments/20080314/eaa67d89/attachment.jpg 
----------- следущая часть -----------
Вложение не в текстовом формате было извлечено…
Имя     : SP_A0164.jpg
Тип     : image/jpeg
Размер  : 5508 байтов
Описание: отсутствует
Url     : http://weborto.net:8080/pipermail/ortho/attachments/20080314/eaa67d89/attachment-0001.jpg 


Подробная информация о списке рассылки Ortho