[Ortho] Голеностопный сустав

Александр Мюллер orthoforum на weborto.net
Сб Мар 15 12:07:01 YEKT 2008


Уважаемые коллеги нужна  помощь в определении тактики лечения:
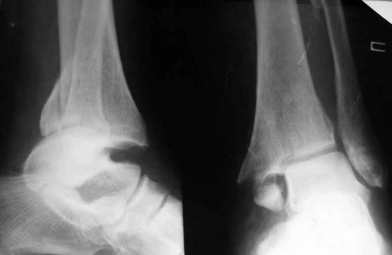
Больная  Р.,1952 года рождения получила травму  18 августа  2007
года. 31 августа 2007 года была оперирована в другой области по
поводу  DS Закрытого двухлодыжечного перелома правой голени с
подвывихом стопы кнаружи , кзади. Разрыв  дистального межберцового
синдесмоза. Перелом заднего края  большеберцовой кости справа.
Поступила в наше отделение со швами ,с некрозом  медиальной
поверхности правого голеностопного сустава. Проведено  : снятие швов
,  антибиотики , некрэктомия с последующей кожной пластикой
.Заживление 20 декабря 2007 года ,выписана из стационара . 3 марта
2008 года поступает с  гиперемией , отек , флюктуацией. В настоящее
время имеется рана по медиальной поверхности правой голени ,отеки  и
гиперемия  сохраняется .Наша тактика:1) снятия воспалительного
процесса, 2) удаление металлоконструкции, 3) выполнения артродеза
правого голеностопного сустава.

Александр Мюллер

----------- следущая часть -----------
Вложение не в текстовом формате было извлечено…
Имя     : image001.jpg
Тип     : image/jpeg
Размер  : 21954 байтов
Описание: отсутствует
Url     : http://weborto.net:8080/pipermail/ortho/attachments/20080315/7ca8e92f/attachment-0004.jpg 
----------- следущая часть -----------
Вложение не в текстовом формате было извлечено…
Имя     : image003.jpg
Тип     : image/jpeg
Размер  : 21898 байтов
Описание: отсутствует
Url     : http://weborto.net:8080/pipermail/ortho/attachments/20080315/7ca8e92f/attachment-0005.jpg 
----------- следущая часть -----------
Вложение не в текстовом формате было извлечено…
Имя     : image005.jpg
Тип     : image/jpeg
Размер  : 23537 байтов
Описание: отсутствует
Url     : http://weborto.net:8080/pipermail/ortho/attachments/20080315/7ca8e92f/attachment-0006.jpg 
----------- следущая часть -----------
Вложение не в текстовом формате было извлечено…
Имя     : image007.jpg
Тип     : image/jpeg
Размер  : 30881 байтов
Описание: отсутствует
Url     : http://weborto.net:8080/pipermail/ortho/attachments/20080315/7ca8e92f/attachment-0007.jpg 


Подробная информация о списке рассылки Ortho