[Ortho] перелом лодыжек трёхмесячной давности

Димтрий бондарь orthoforum на weborto.net
Вс Мар 16 15:56:04 YEKT 2008


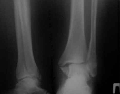
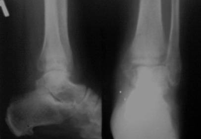
Здравствуйте,коллеги!Ко мне на консультацию обратилась больная 54 года,110 кг весом . травма 3 мес. назад , лечилась амбулаторно в гипсовой лонгете . Как поступить далее? Я планирую ORIF , внутреннюю лодыжку - спицами и проволокой , наружную - пластиной 1\3 трубки .Позиционный винт для фиксации синдесмоза. Как Вы считаете , это верная тактика ? какой вероятен исход ? Какие имеются нюансы в этом сроке , особенности техники? Может стоит вначале разработать движения в голеностопе ? Нужен ли гипс после операции ?
С уважением Д.Б.
----------- следущая часть -----------
Вложение не в текстовом формате было извлечено…
Имя     : первичный.jpg
Тип     : image/jpeg
Размер  : 3955 байтов
Описание: отсутствует
Url     : http://weborto.net:8080/pipermail/ortho/attachments/20080316/074c6032/attachment.jpg 
----------- следущая часть -----------
Вложение не в текстовом формате было извлечено…
Имя     : через 3 мес..jpg
Тип     : image/jpeg
Размер  : 5874 байтов
Описание: отсутствует
Url     : http://weborto.net:8080/pipermail/ortho/attachments/20080316/074c6032/attachment-0001.jpg 


Подробная информация о списке рассылки Ortho