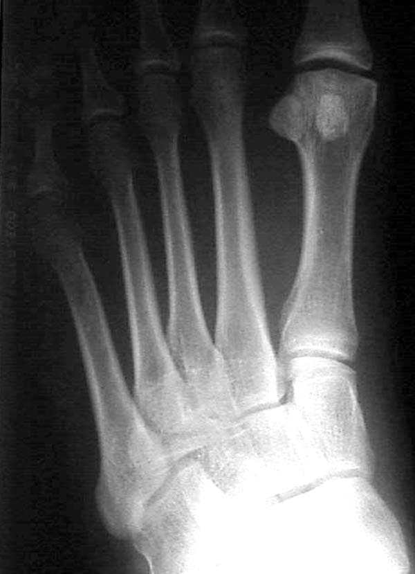
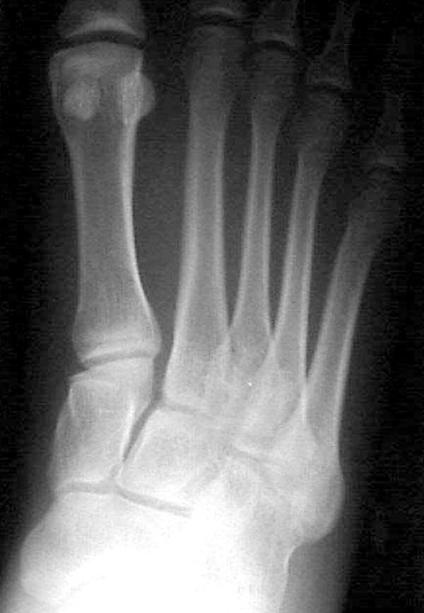
[Ortho] Сустав Лисфранка

Djoldas Kuldjanov orthoforum на weborto.net
Чт Мар 20 23:25:14 YEKT 2008


Вложение в формате HTML было извлечено…
URL: http://weborto.net:8080/pipermail/ortho/attachments/20080320/e19da97a/attachment-0001.htm 
----------- следущая часть -----------
Вложение не в текстовом формате было извлечено…
Имя     : CT 2.jpg
Тип     : image/jpeg
Размер  : 38908 байтов
Описание: отсутствует
Url     : http://weborto.net:8080/pipermail/ortho/attachments/20080320/e19da97a/attachment-0004.jpg 
----------- следущая часть -----------
Вложение не в текстовом формате было извлечено…
Имя     : CT 3.jpg
Тип     : image/jpeg
Размер  : 21988 байтов
Описание: отсутствует
Url     : http://weborto.net:8080/pipermail/ortho/attachments/20080320/e19da97a/attachment-0005.jpg 
----------- следущая часть -----------
Вложение не в текстовом формате было извлечено…
Имя     : Lt WB comparative.jpg
Тип     : image/jpeg
Размер  : 42489 байтов
Описание: отсутствует
Url     : http://weborto.net:8080/pipermail/ortho/attachments/20080320/e19da97a/attachment-0006.jpg 
----------- следущая часть -----------
Вложение не в текстовом формате было извлечено…
Имя     : Rt WB comparative.jpg
Тип     : image/jpeg
Размер  : 44245 байтов
Описание: отсутствует
Url     : http://weborto.net:8080/pipermail/ortho/attachments/20080320/e19da97a/attachment-0007.jpg 


Подробная информация о списке рассылки Ortho