[Ortho] Остеобластокластома?

Alexander Chelnokov alex на weborto.net
Сб Мар 22 19:10:05 YEKT 2008


Dear коллеги.

Продолжение обсуждения, начатого в ноябре прошлого года
http://www.weborto.net/forum/1194191514/

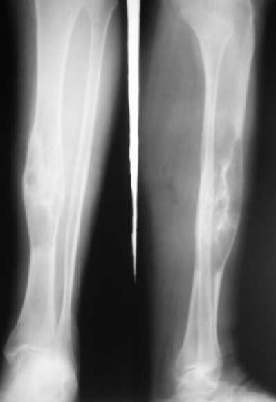
Пациентке дважды делали биопсию, второй раз - довольно расширенную,
через доступ 5 см. Стекла смотрели в онкодиспансере и у нас,
морфологи единодушно поставили гигантоклеточную опухоль. Диафизарная
локализация для которой очень нехарактерна, 1-2%.
Исходя из диагноза, выглядела адекватной сегментарная резекция,
которая дает наименьшее количество рецидивов.
Напомню, пациентке 61 год, она еще практически слепая, т.е.
функциональные потребности невысокие.
Больную положили к нам в отделение. Заказали кейдж в МАТИ (посодействовал
Анатолий Федорович Лазарев, ему огромное спасибо), его быстро
сделали. На этой неделе состоялась операция - сделали сегментарную
резекцию единым блоком. Кортикальная пластинка вроде не не была нигде
прорвана, хотя местами сильно истончена.
Пока делали остеосинтез, препарат успели отправить в лабораторию, так
что распилить получилось только на следующий день. 
При его рассмотрении с рентгенологом и морфологом сошлись, что это не
фиброзная дисплазия, что было первым предположением по рентгенограммам. В
полости было и мягкотканое образование. Окончательно заключение дадут
через несколько дней. Будем признательны за комментарии и критику.

-- 
Best regards,
Alexander N. Chelnokov
Ural Scientific Research Institute
of Traumatology and Orthopaedics
7, Bankovsky str. Ekaterinburg 620014 Russia 
-------------- next part --------------
A non-text attachment was scrubbed...
Name: get_image1.jpg
Type: image/jpeg
Size: 9397 bytes
Desc: not available
Url : http://weborto.net:8080/pipermail/ortho/attachments/20080322/d79c0440/attachment-0006.jpg 
-------------- next part --------------
A non-text attachment was scrubbed...
Name: get_image2.jpg
Type: image/jpeg
Size: 15864 bytes
Desc: not available
Url : http://weborto.net:8080/pipermail/ortho/attachments/20080322/d79c0440/attachment-0007.jpg 
-------------- next part --------------
A non-text attachment was scrubbed...
Name: get_image3.jpg
Type: image/jpeg
Size: 27620 bytes
Desc: not available
Url : http://weborto.net:8080/pipermail/ortho/attachments/20080322/d79c0440/attachment-0008.jpg 
-------------- next part --------------
A non-text attachment was scrubbed...
Name: get_image4.jpg
Type: image/jpeg
Size: 4012 bytes
Desc: not available
Url : http://weborto.net:8080/pipermail/ortho/attachments/20080322/d79c0440/attachment-0009.jpg 
-------------- next part --------------
A non-text attachment was scrubbed...
Name: get_image5.jpg
Type: image/jpeg
Size: 5480 bytes
Desc: not available
Url : http://weborto.net:8080/pipermail/ortho/attachments/20080322/d79c0440/attachment-0010.jpg 
-------------- next part --------------
A non-text attachment was scrubbed...
Name: get_image6.jpg
Type: image/jpeg
Size: 69786 bytes
Desc: not available
Url : http://weborto.net:8080/pipermail/ortho/attachments/20080322/d79c0440/attachment-0011.jpg 


Подробная информация о списке рассылки Ortho