[Ortho] Остеобластокластома?

Djoldas Kuldjanov orthoforum на weborto.net
Вс Мар 23 17:10:00 YEKT 2008


>"При его рассмотрении с рентгенологом и морфологом сошлись, что это
>не фиброзная дисплазия, что было первым предположением по
>рентгенограммам. В полости было и мягкотканое образование.
>Окончательно заключение дадут через несколько дней

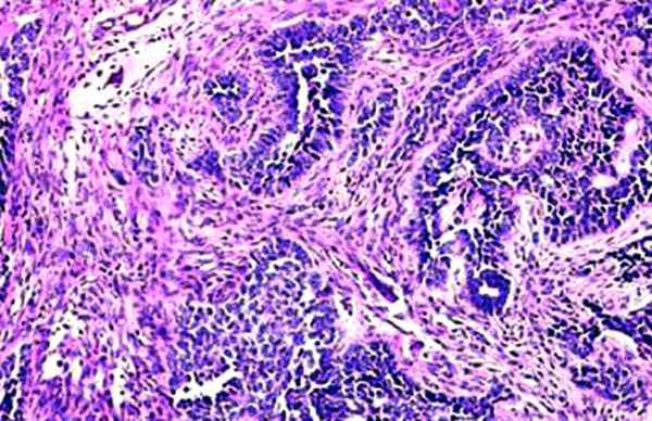
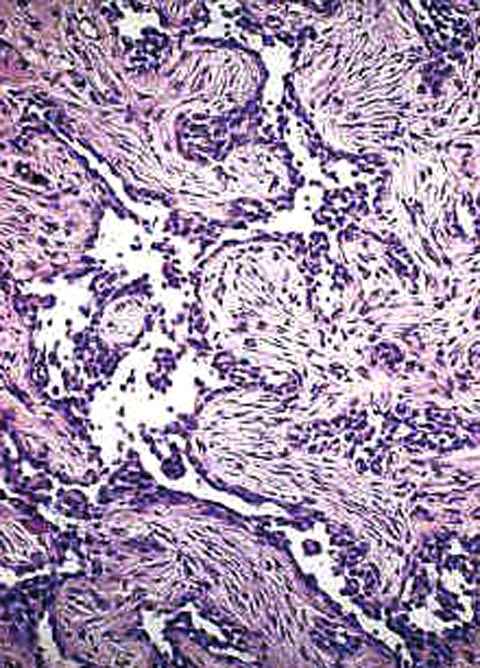
По локализации и по характреру опухоли мало напоминает остеобластому,
может, представленные биопсийные материалы адамантиномы помогут вашим
морфологам дифференцировать опухоль (Basiloid cells, pseudoglandular
pattern and peripheral palisading)



Djoldas Kuldjanov, MD
Department of Orthopedic Surgery
St. Louis University Medical Center
----------- следущая часть -----------
Вложение не в текстовом формате было извлечено…
Имя     : adamantioma histology.jpg
Тип     : image/jpeg
Размер  : 66389 байтов
Описание: отсутствует
Url     : http://weborto.net:8080/pipermail/ortho/attachments/20080323/e37d3f4e/attachment-0003.jpg 
----------- следущая часть -----------
Вложение не в текстовом формате было извлечено…
Имя     : histology 2.jpg
Тип     : image/jpeg
Размер  : 77596 байтов
Описание: отсутствует
Url     : http://weborto.net:8080/pipermail/ortho/attachments/20080323/e37d3f4e/attachment-0004.jpg 
----------- следущая часть -----------
Вложение не в текстовом формате было извлечено…
Имя     : histology 3.jpg
Тип     : image/jpeg
Размер  : 24087 байтов
Описание: отсутствует
Url     : http://weborto.net:8080/pipermail/ortho/attachments/20080323/e37d3f4e/attachment-0005.jpg 


Подробная информация о списке рассылки Ortho