[Ortho] Остеобластокластома?

Djoldas Kuldjanov orthoforum на weborto.net
Вс Мар 23 17:11:28 YEKT 2008


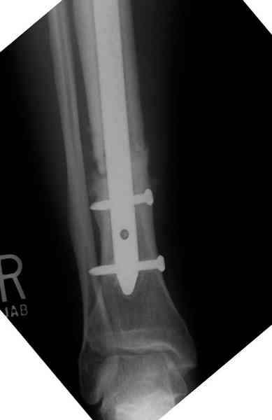
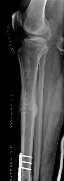
Недавно на нашей ежемесячной Morbidity&Mortality conference мы
разбирали похожий случай, ложный сустав большеберцовой кости после
резекции опухоли. 

К нашему онкологу-ортопеду обратился больной с жалобами на боли в
голени, из рассказа - год назад была сделана биопсия большеберцовой
кости, но название заболевания "не запомнил".
Оперирован в военном госпитале с заменой сегмента аллокостью
большеберцовой кости и после демобилизации явился для постоянного
наблюдения по месту жительства.  

В литературе "A Classic Adamantinoma Arising from Osteofibrous
Displasialike Adamantinoma in the Lower Leg: A case report and Review
of the Literature похожие снимки.  

Наши имели проблему со сращением, пришлось им сделать динамизацию,
дополнительную аутопластику. 


Снимки представлены.


Djoldas Kuldjanov, MD
Department of Orthopedic Surgery
St. Louis University Medical Center
----------- следущая часть -----------
Вложение не в текстовом формате было извлечено…
Имя     : 1 adamantioma ap orig.jpg
Тип     : image/jpeg
Размер  : 12930 байтов
Описание: отсутствует
Url     : http://weborto.net:8080/pipermail/ortho/attachments/20080323/c811b99e/attachment-0014.jpg 
----------- следущая часть -----------
Вложение не в текстовом формате было извлечено…
Имя     : 2 adamantioma lat preop.jpg
Тип     : image/jpeg
Размер  : 12863 байтов
Описание: отсутствует
Url     : http://weborto.net:8080/pipermail/ortho/attachments/20080323/c811b99e/attachment-0015.jpg 
----------- следущая часть -----------
Вложение не в текстовом формате было извлечено…
Имя     : 3 adamantioma ap prox plate.jpg
Тип     : image/jpeg
Размер  : 14071 байтов
Описание: отсутствует
Url     : http://weborto.net:8080/pipermail/ortho/attachments/20080323/c811b99e/attachment-0016.jpg 
----------- следущая часть -----------
Вложение не в текстовом формате было извлечено…
Имя     : 4 adamantioma ap.jpg
Тип     : image/jpeg
Размер  : 13707 байтов
Описание: отсутствует
Url     : http://weborto.net:8080/pipermail/ortho/attachments/20080323/c811b99e/attachment-0017.jpg 
----------- следущая часть -----------
Вложение не в текстовом формате было извлечено…
Имя     : 5 adamantioma lat dis plate.jpg
Тип     : image/jpeg
Размер  : 14303 байтов
Описание: отсутствует
Url     : http://weborto.net:8080/pipermail/ortho/attachments/20080323/c811b99e/attachment-0018.jpg 
----------- следущая часть -----------
Вложение не в текстовом формате было извлечено…
Имя     : 6 adamantioma prox plate.jpg
Тип     : image/jpeg
Размер  : 14648 байтов
Описание: отсутствует
Url     : http://weborto.net:8080/pipermail/ortho/attachments/20080323/c811b99e/attachment-0019.jpg 
----------- следущая часть -----------
Вложение не в текстовом формате было извлечено…
Имя     : 8 adamantioma posrdynamization.jpg
Тип     : image/jpeg
Размер  : 15556 байтов
Описание: отсутствует
Url     : http://weborto.net:8080/pipermail/ortho/attachments/20080323/c811b99e/attachment-0020.jpg 
----------- следущая часть -----------
Вложение не в текстовом формате было извлечено…
Имя     : 10 adamantioma posr dynamization prox lat.jpg
Тип     : image/jpeg
Размер  : 13937 байтов
Описание: отсутствует
Url     : http://weborto.net:8080/pipermail/ortho/attachments/20080323/c811b99e/attachment-0021.jpg 
----------- следущая часть -----------
Вложение не в текстовом формате было извлечено…
Имя     : 12 adamantioma posr dynamization prox 2 ap.jpg
Тип     : image/jpeg
Размер  : 15785 байтов
Описание: отсутствует
Url     : http://weborto.net:8080/pipermail/ortho/attachments/20080323/c811b99e/attachment-0022.jpg 
----------- следущая часть -----------
Вложение не в текстовом формате было извлечено…
Имя     : 13 adamantioma posr dynamization prox lat.jpg
Тип     : image/jpeg
Размер  : 12816 байтов
Описание: отсутствует
Url     : http://weborto.net:8080/pipermail/ortho/attachments/20080323/c811b99e/attachment-0023.jpg 
----------- следущая часть -----------
Вложение не в текстовом формате было извлечено…
Имя     : 14 adamantioma ap.jpg
Тип     : image/jpeg
Размер  : 15026 байтов
Описание: отсутствует
Url     : http://weborto.net:8080/pipermail/ortho/attachments/20080323/c811b99e/attachment-0024.jpg 
----------- следущая часть -----------
Вложение не в текстовом формате было извлечено…
Имя     : 15 adamantioma ap dis.jpg
Тип     : image/jpeg
Размер  : 14361 байтов
Описание: отсутствует
Url     : http://weborto.net:8080/pipermail/ortho/attachments/20080323/c811b99e/attachment-0025.jpg 
----------- следущая часть -----------
Вложение не в текстовом формате было извлечено…
Имя     : 16 adamantioma.jpg
Тип     : image/jpeg
Размер  : 15703 байтов
Описание: отсутствует
Url     : http://weborto.net:8080/pipermail/ortho/attachments/20080323/c811b99e/attachment-0026.jpg 
----------- следущая часть -----------
Вложение не в текстовом формате было извлечено…
Имя     : 17 adamantioma.jpg
Тип     : image/jpeg
Размер  : 17465 байтов
Описание: отсутствует
Url     : http://weborto.net:8080/pipermail/ortho/attachments/20080323/c811b99e/attachment-0027.jpg 


Подробная информация о списке рассылки Ortho