[Ortho] Энхондрома (?)

Бехтерев Антон orthoforum на weborto.net
Вс Мар 30 03:19:39 YEKST 2008


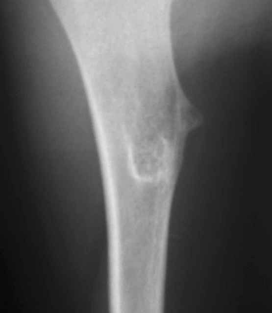
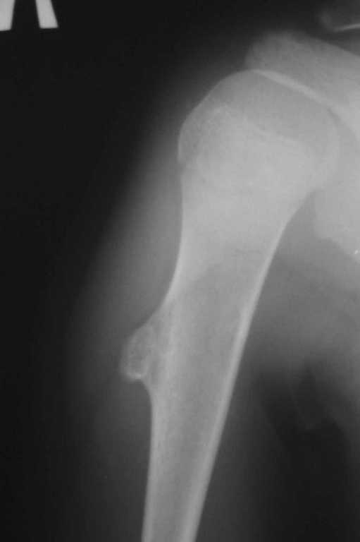
У 12-летнего мальчика образовалась припухлость на верхней трети плеча.
Рентгенобслежование выявило такую картину (см. прикрепленные файлы). Нельзя исключить
энхондрому диафиза плечевой кости. Какую тактику лечения выбрать: экскохлеация или
сегментарная резекция? Какие ортопедические центры, имеющие опыт лечения данной
патологии, можно рекомендовать родителям мальчика для консультации и возможного,
качественного, лечения? Спасибо.


Бехтерев Антон
----------- следущая часть -----------
Вложение не в текстовом формате было извлечено…
Имя     : IMG_0080.JPG
Тип     : image/jpeg
Размер  : 18100 байтов
Описание: отсутствует
Url     : http://weborto.net:8080/pipermail/ortho/attachments/20080330/5666ef58/attachment-0002.jpeg 
----------- следущая часть -----------
Вложение не в текстовом формате было извлечено…
Имя     : IMG_0082.JPG
Тип     : image/jpeg
Размер  : 16957 байтов
Описание: отсутствует
Url     : http://weborto.net:8080/pipermail/ortho/attachments/20080330/5666ef58/attachment-0003.jpeg 


Подробная информация о списке рассылки Ortho