[Ortho] Рекурвация голени

Руслан Валерьевич Зайцев orthoforum на weborto.net
Вс Мар 30 04:00:38 YEKST 2008


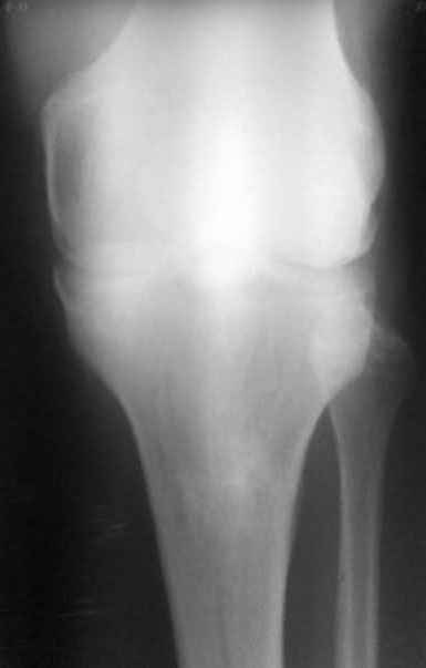
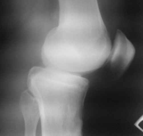
Доктора, предлагаю обсудить клинический случай.
Мужчина 1960 гр в возрасте 10-12 лет получает травму, которую сейчас описать точно не может, не помнит. 

В настоящий момент единственная, как ни странно, жалоба –
появление кисты Бейкера. А еще больше косметический дефект.
Собственно, с идеей коррекции косметического дефекта пациент к нам и
обратился.

По видимому, тогда было повреждение задней крестообразной связки,
рекурвация голени стала устойчивой, плато имеет неправильный угол
наклона, а в верхней трети большеберцовой кости формируется маршевый
перелом.

Объективно. Боли при пальпации нет, движения практически в полном
объеме. Рекурвация внешне совершенно очевидная. Положение голени
устойчивое.  

Растущая киста Бейкера говорит о начале декомпенсации со стороны
сустава, как я понимаю. 

Что мы можем предложить пациенту. Ваши прогнозы по развитию маршевого
перелома. Стоит ли сейчас предлагать коррекцию рекурвации. Что делать
с «задним выдвижным положением», ибо это уже не
«ящик». Нет даже колебания вперед-назад.

простите, мне и самому кажется, что качество снимков не лучшее.
С уважением
Зайцев Руслан Валерьевич
----------- следущая часть -----------
Вложение не в текстовом формате было извлечено…
Имя     : 1.jpg
Тип     : image/jpeg
Размер  : 4856 байтов
Описание: отсутствует
Url     : http://weborto.net:8080/pipermail/ortho/attachments/20080330/3f09367b/attachment.jpg 
----------- следущая часть -----------
Вложение не в текстовом формате было извлечено…
Имя     : 2.jpg
Тип     : image/jpeg
Размер  : 5296 байтов
Описание: отсутствует
Url     : http://weborto.net:8080/pipermail/ortho/attachments/20080330/3f09367b/attachment-0001.jpg 
----------- следущая часть -----------
Вложение не в текстовом формате было извлечено…
Имя     : 3.jpg
Тип     : image/jpeg
Размер  : 5919 байтов
Описание: отсутствует
Url     : http://weborto.net:8080/pipermail/ortho/attachments/20080330/3f09367b/attachment-0002.jpg 


Подробная информация о списке рассылки Ortho