[Ortho] неполный перелом шейки

Djoldas Kuldjanov orthoforum на weborto.net
Сб Май 24 01:35:23 YEKST 2008


Уважаемые коллеги,

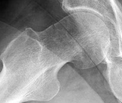
Хотели бы знать тактику лечения 62 летнего больного, отягощенного
алкоголизмом, с жалобами на боли в правом тазобедренном суставе.


Не смогли добиться вразумительного ответа по поводу анамнеза травмы,
клинически движения ограничены из-за боли, сделанные снимки сустава
представлены. На КТ неполный перелом шейки. Начали профилактику
возможного Алкогольного Делирия.

Дальнейшее рекомендации, оставить как есть, или профилактическая
перкутанная фиксация? 


Djoldas Kuldjanov, MD
Department of Orthopedic Surgery
St. Louis University Medical Center
Djoldas Kuldjanov
----------- следущая часть -----------
Вложение не в текстовом формате было извлечено…
Имя     : 1.jpg
Тип     : image/jpeg
Размер  : 35279 байтов
Описание: отсутствует
Url     : http://weborto.net:8080/pipermail/ortho/attachments/20080524/8c4f8caf/attachment-0004.jpg 
----------- следущая часть -----------
Вложение не в текстовом формате было извлечено…
Имя     : 2.jpg
Тип     : image/jpeg
Размер  : 23988 байтов
Описание: отсутствует
Url     : http://weborto.net:8080/pipermail/ortho/attachments/20080524/8c4f8caf/attachment-0005.jpg 
----------- следущая часть -----------
Вложение не в текстовом формате было извлечено…
Имя     : 3.jpg
Тип     : image/jpeg
Размер  : 22362 байтов
Описание: отсутствует
Url     : http://weborto.net:8080/pipermail/ortho/attachments/20080524/8c4f8caf/attachment-0006.jpg 
----------- следущая часть -----------
Вложение не в текстовом формате было извлечено…
Имя     : 4Krey.jpg
Тип     : image/jpeg
Размер  : 20914 байтов
Описание: отсутствует
Url     : http://weborto.net:8080/pipermail/ortho/attachments/20080524/8c4f8caf/attachment-0007.jpg 


Подробная информация о списке рассылки Ortho