[Ortho] Коксит vs. Ас.некроз

Моисеев Ю.И. orthoforum на weborto.net
Вт Май 27 20:34:50 YEKST 2008


Уважаемые коллеги! Помогите с дифф. диагнозом и тактикой лечения.

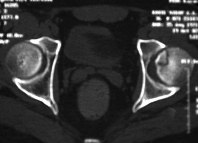
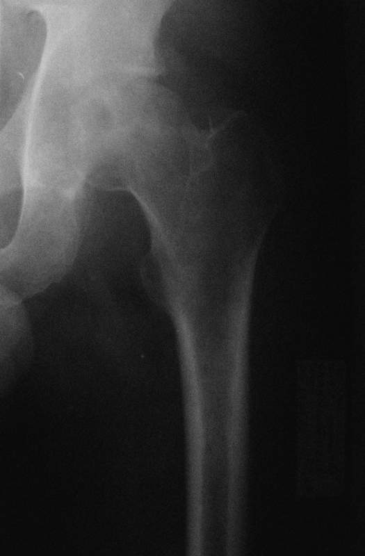
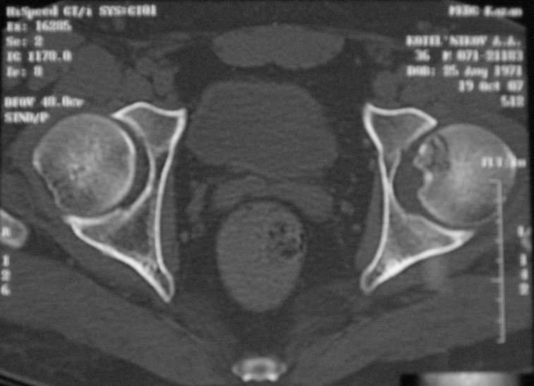
Молодой человек, 37л. Начало заболевания сентябрь 2007, резкие боли в области лев.
тазобедренного сустава, повышение температуры до 39 гр., в течение недели, лабораторные
данные: лейкоцитоз со сдвигом влево. Посев крови на стерильность возбудителя не выявил. По
данным Рг, РКТ выставлен диагноз: Левосторонний коксит? Асептический некроз? Проводилось
лечение: цефсон в/в неделю, иммобилизация кокситной повязкой 1 мес. Обратился повторно 10
дней назад с жалобами на сильные боли в левом тазобедренном суставе, белая кровь
нормограмма, СОЭ 46 мм/ч. На сегодняшний день: болей не отмечает. Лаб.данные: белая кровь
нормограмма, СОЭ 30 мм/ч. Рентген и РКТ прилагаем.

Рассмотреная тактика лечения: операционная биопсия.

При отрицательных данных за коксит - диагноз асептический некроз -
эндопротезирование

При положительных данных за коксит какие методы могут быть
использованы?

Правомочна ли резекция головки, установка спейсера, тотальное
эндопротезирование. На какой срок устанавливать спейсер? Имеет ли
здесь право как методы лечения сегментарная резекция головки,
артродезирование тазобедренного сустава?

Моисеев Ю.И.
----------- следущая часть -----------
Вложение не в текстовом формате было извлечено…
Имя     : IMG_0380.JPG
Тип     : image/jpeg
Размер  : 25380 байтов
Описание: отсутствует
Url     : http://weborto.net:8080/pipermail/ortho/attachments/20080527/e81a5745/attachment-0004.jpeg 
----------- следущая часть -----------
Вложение не в текстовом формате было извлечено…
Имя     : IMG_0381.JPG
Тип     : image/jpeg
Размер  : 25561 байтов
Описание: отсутствует
Url     : http://weborto.net:8080/pipermail/ortho/attachments/20080527/e81a5745/attachment-0005.jpeg 
----------- следущая часть -----------
Вложение не в текстовом формате было извлечено…
Имя     : IMG_0382.JPG
Тип     : image/jpeg
Размер  : 36110 байтов
Описание: отсутствует
Url     : http://weborto.net:8080/pipermail/ortho/attachments/20080527/e81a5745/attachment-0006.jpeg 
----------- следущая часть -----------
Вложение не в текстовом формате было извлечено…
Имя     : IMG_0383.JPG
Тип     : image/jpeg
Размер  : 76325 байтов
Описание: отсутствует
Url     : http://weborto.net:8080/pipermail/ortho/attachments/20080527/e81a5745/attachment-0007.jpeg 


Подробная информация о списке рассылки Ortho