[Ortho] неполный перелом шейки

Djoldas Kuldjanov orthoforum на weborto.net
Вт Май 27 23:14:52 YEKST 2008


>А что означает профилактическая перкутанная фиксация? Профилактика
>чего? Резорбции что ли? Снимки у Вас высокого качества- это ясно, а
>ППФ - это не ясно.

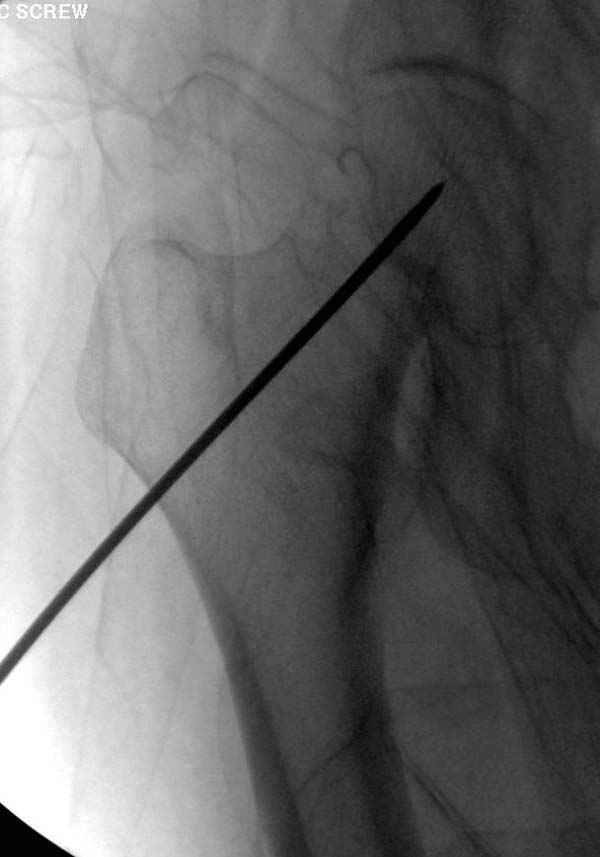
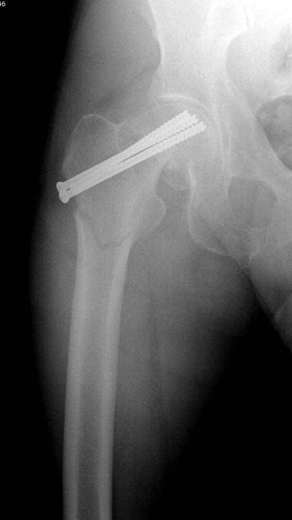
 Профилактику дальнейшего раскола неполного перелома шейки провели тремя канюлированными шурупами.

Профилактику алкогольного делирия проводим по схеме после мониторинга CIWA-Ar (специального протокола Clinical Institute Withdrawal Assessment for Alcohol)

Назначения Lorazepama (Ативан) по 2 мг в зависимости от результата протокола. Также проводится витамин В1 (Thiamin) для профилактики Korsakoff-Wernicke синдрома.

На второй день после выписки упал дома. Снимки приложены. Коллеги рекомендуют удаление шурупа и вытяжение. Что делать?


Djoldas Kuldjanov, MD
Department of Orthopedic Surgery
St. Louis University Medical Center
----------- следущая часть -----------
Вложение не в текстовом формате было извлечено…
Имя     : 6Krey.jpg
Тип     : image/jpeg
Размер  : 30076 байтов
Описание: отсутствует
Url     : http://weborto.net:8080/pipermail/ortho/attachments/20080527/a87b60b2/attachment-0006.jpg 
----------- следущая часть -----------
Вложение не в текстовом формате было извлечено…
Имя     : 8Krey.jpg
Тип     : image/jpeg
Размер  : 22476 байтов
Описание: отсутствует
Url     : http://weborto.net:8080/pipermail/ortho/attachments/20080527/a87b60b2/attachment-0007.jpg 
----------- следущая часть -----------
Вложение не в текстовом формате было извлечено…
Имя     : 12Krey.jpg
Тип     : image/jpeg
Размер  : 24110 байтов
Описание: отсутствует
Url     : http://weborto.net:8080/pipermail/ortho/attachments/20080527/a87b60b2/attachment-0008.jpg 
----------- следущая часть -----------
Вложение не в текстовом формате было извлечено…
Имя     : 13Krey.jpg
Тип     : image/jpeg
Размер  : 32476 байтов
Описание: отсутствует
Url     : http://weborto.net:8080/pipermail/ortho/attachments/20080527/a87b60b2/attachment-0009.jpg 
----------- следущая часть -----------
Вложение не в текстовом формате было извлечено…
Имя     : 16Krey.jpg
Тип     : image/jpeg
Размер  : 24521 байтов
Описание: отсутствует
Url     : http://weborto.net:8080/pipermail/ortho/attachments/20080527/a87b60b2/attachment-0010.jpg 
----------- следущая часть -----------
Вложение не в текстовом формате было извлечено…
Имя     : 17Krey.jpg
Тип     : image/jpeg
Размер  : 28667 байтов
Описание: отсутствует
Url     : http://weborto.net:8080/pipermail/ortho/attachments/20080527/a87b60b2/attachment-0011.jpg 


Подробная информация о списке рассылки Ortho