[Ortho] застарелый вывих бедра

Maxim Agalakov orthoforum на weborto.net
Сб Ноя 8 11:57:45 YEKT 2008


Уважаемые коллеги.

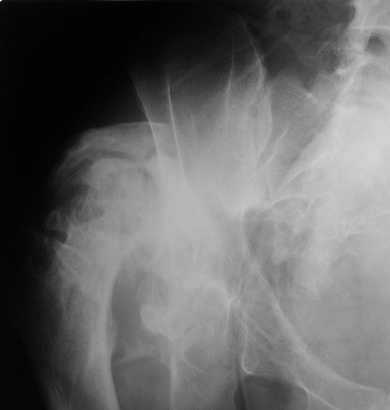
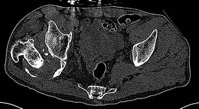
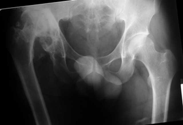
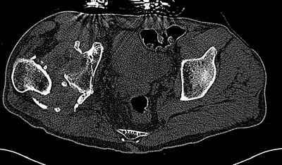
Пациент 30 лет 3 года назад в результате травмы получил травматический
дефект нижних конечностей до в/3 голеней, был пропущен вывих бедра. В настоящее время очень
неплохо ходит на протезах, движения в неоартрозе близки по объему к здоровой стороне.
Основная жалоба - выраженная боль при ходьбе. планируем двухэтапное эндопротезирование -
задним доступом мобилизовать проксимальный отдел бедра, резецировать шейку, аппаратом
низвести бедро(головку оставить там где она есть, так как больших дефектов не видно(может
пригодится в последующем?)). Вторым этапом бесцементное эндопротезирование. Насколько
такой вариант реалистичен? Доступ для второго этапа? Может быть, другие варианты?

С уважением, Максим
ГВВ, Е-бург
----------- следущая часть -----------
Вложение не в текстовом формате было извлечено…
Имя     : IMG_1876.jpg
Тип     : image/jpeg
Размер  : 19236 байтов
Описание: отсутствует
Url     : http://weborto.net:8080/pipermail/ortho/attachments/20081108/91bec8dd/attachment-0008.jpg 
----------- следущая часть -----------
Вложение не в текстовом формате было извлечено…
Имя     : IMG_1875.jpg
Тип     : image/jpeg
Размер  : 13908 байтов
Описание: отсутствует
Url     : http://weborto.net:8080/pipermail/ortho/attachments/20081108/91bec8dd/attachment-0009.jpg 
----------- следущая часть -----------
Вложение не в текстовом формате было извлечено…
Имя     : kt1.jpg
Тип     : image/jpeg
Размер  : 23973 байтов
Описание: отсутствует
Url     : http://weborto.net:8080/pipermail/ortho/attachments/20081108/91bec8dd/attachment-0010.jpg 
----------- следущая часть -----------
Вложение не в текстовом формате было извлечено…
Имя     : kt2.jpg
Тип     : image/jpeg
Размер  : 24091 байтов
Описание: отсутствует
Url     : http://weborto.net:8080/pipermail/ortho/attachments/20081108/91bec8dd/attachment-0011.jpg 
----------- следущая часть -----------
Вложение не в текстовом формате было извлечено…
Имя     : kt3.jpg
Тип     : image/jpeg
Размер  : 23397 байтов
Описание: отсутствует
Url     : http://weborto.net:8080/pipermail/ortho/attachments/20081108/91bec8dd/attachment-0012.jpg 
----------- следущая часть -----------
Вложение не в текстовом формате было извлечено…
Имя     : 3D1.jpg
Тип     : image/jpeg
Размер  : 22923 байтов
Описание: отсутствует
Url     : http://weborto.net:8080/pipermail/ortho/attachments/20081108/91bec8dd/attachment-0013.jpg 
----------- следущая часть -----------
Вложение не в текстовом формате было извлечено…
Имя     : 3D2.jpg
Тип     : image/jpeg
Размер  : 17949 байтов
Описание: отсутствует
Url     : http://weborto.net:8080/pipermail/ortho/attachments/20081108/91bec8dd/attachment-0014.jpg 
----------- следущая часть -----------
Вложение не в текстовом формате было извлечено…
Имя     : 3D3.jpg
Тип     : image/jpeg
Размер  : 17038 байтов
Описание: отсутствует
Url     : http://weborto.net:8080/pipermail/ortho/attachments/20081108/91bec8dd/attachment-0015.jpg 


Подробная информация о списке рассылки Ortho