[Ortho] Перелом таранной кости

zsn_1 zsn_1 на sibmail.ru
Сб Ноя 8 10:15:16 YEKT 2008


Прошу коллег помочь советом.
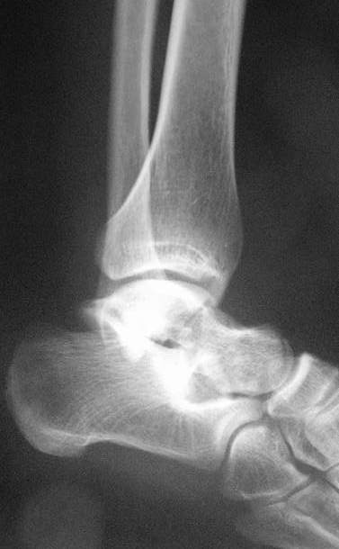
3 дня назад поступила пациентка  23 года с переломом шейки ладьевидной
справа, переломом лодыжек заднего края б/берцовой кости со смещением и
подвывихом кзади, переломом внутреннего мыщелка правого бедра без смещения.
Дежурными хирургами проведена репозиция в левом г/ст суставе успешная,
попытка репозиции таранной кости ухудшило положение отломков. 
Планируем провести повторную репозицию и фиксацию винтами.
1. Закрытая репозиция рентгенконтоль интраоперационный (аппарат Арман) и
фиксация из заднее-наружного доступа.
2. При неудачной закрытой репозиции переходим на открытое вправление двумя
доступами медиальным и латеральным "по ходу оси таранной кости" и через
дополнительный задний доступ вводим винты кортикальные 4,5 мм или  3,5 мм 
3. после открытой репозиции фиксация двумя винтами через боковые доступы
погружая их под суставную поверхность  
Сергей Зырянов 
ЦРБ Новосибирская область 
----------- следущая часть -----------
Вложение не в текстовом формате было извлечено…
Имя     : 081107 022.jpg
Тип     : image/jpeg
Размер  : 39653 байтов
Описание: отсутствует
Url     : http://weborto.net:8080/pipermail/ortho/attachments/20081108/959cb8a0/attachment-0002.jpg 
----------- следущая часть -----------
Вложение не в текстовом формате было извлечено…
Имя     : 081107 019.jpg
Тип     : image/jpeg
Размер  : 29285 байтов
Описание: отсутствует
Url     : http://weborto.net:8080/pipermail/ortho/attachments/20081108/959cb8a0/attachment-0003.jpg 


Подробная информация о списке рассылки Ortho