[Ortho] Перелом таранной кости

zsn_1 zsn_1 на sibmail.ru
Вс Ноя 9 15:17:56 YEKT 2008


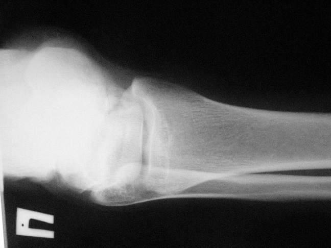
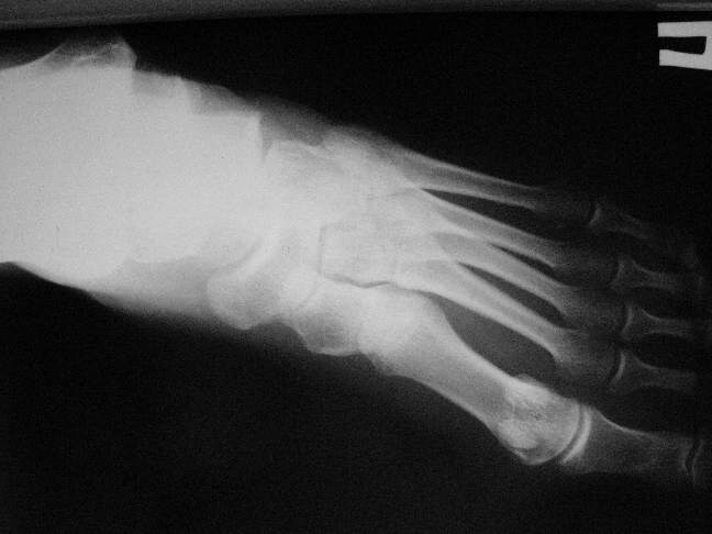
Справа перелом таранной кости со смещением  и мыщелка бедра без смещения,
посылаю дополнительные проекции.
Слева перелом ложыжек и заднего края с подвывихом- репозиция успешна,
поэтому не представляю эти снимки.

-----Original Message-----
From: ortho-bounces на weborto.net [mailto:ortho-bounces на weborto.net] On Behalf
Of Alexander Chelnokov
Sent: Sunday, November 09, 2008 1:45 AM
To: Orthoforum
Subject: Re: [Ortho] Перелом таранной кости

Dear Сергей.

You wrote 8 ноября 2008 г., 10:15:16:

z> 3 дня назад поступила пациентка  23 года с переломом шейки ладьевидной
z> справа, переломом лодыжек заднего края б/берцовой кости со смещением и
z> подвывихом кзади, переломом внутреннего мыщелка правого бедра без
смещения.

Это на той же ноге, где таран, или нет? Если нет, эти сведения вряд
ли влияют на планирование в отношении обсуждаемой таранной кости.


z> Планируем провести повторную репозицию и фиксацию винтами.

Есть смысл подумать не только о репозиции и остеосинтезе тарана
(попытка сделать это закрыто без ЭОП, по-моему, неоправдана), но и об
артродезе подтаранного сустава. Он поврежден уже, т.е. ожидаем
артроз. Плюс кровоснабжение аваскулярного блока таранной кости будет
обеспечиваться со стороны пятки. Это ускорит реваскуяризацию блока
тарана. Достаточно одного наружного доступа.


-- 
Best regards,
Alexander N. Chelnokov
Ural Scientific Research Institute
of Traumatology and Orthopaedics
7, Bankovsky str. Ekaterinburg 620014 Russia 


_______________________________________________
Ortho mailing list
Ortho на weborto.net
http://weborto.net:8080/mailman/listinfo/ortho
----------- следущая часть -----------
Вложение не в текстовом формате было извлечено…
Имя     : 081107 021.jpg
Тип     : image/jpeg
Размер  : 30819 байтов
Описание: отсутствует
Url     : http://weborto.net:8080/pipermail/ortho/attachments/20081109/5f9cdc60/attachment-0002.jpg 
----------- следущая часть -----------
Вложение не в текстовом формате было извлечено…
Имя     : 081107 020.jpg
Тип     : image/jpeg
Размер  : 28944 байтов
Описание: отсутствует
Url     : http://weborto.net:8080/pipermail/ortho/attachments/20081109/5f9cdc60/attachment-0003.jpg 


Подробная информация о списке рассылки Ortho