[Ortho] Врожденный псведоартроз после 3ей операции

А.В.Владзимирский orthoforum на weborto.net
Пт Ноя 14 23:06:10 YEKT 2008


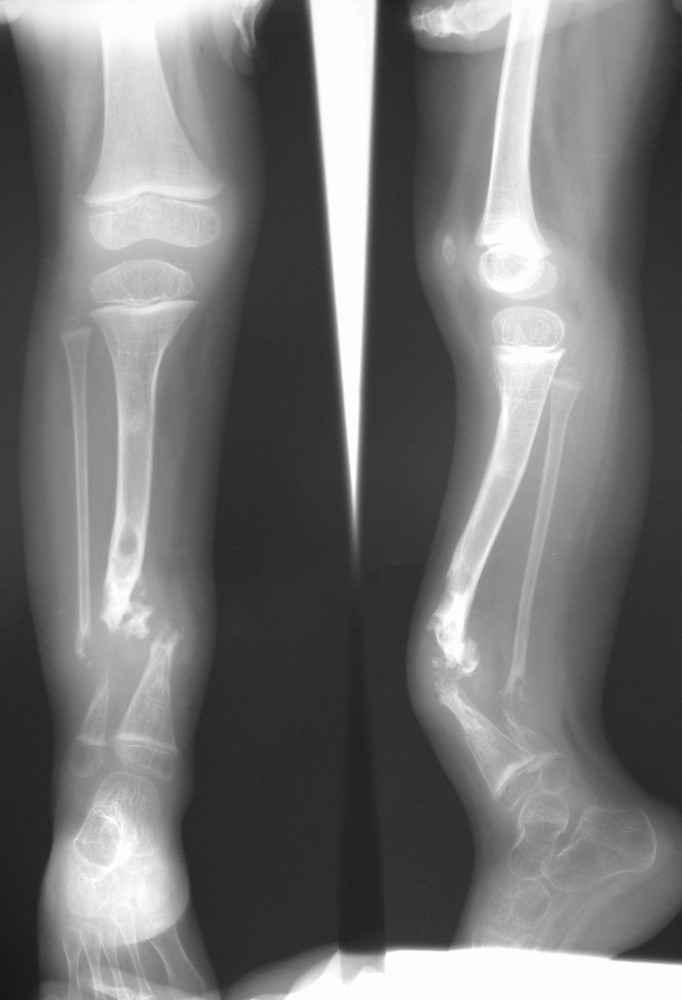
Уважаемые коллеги!Девочка, 2004 г.р.Родилась от I беременности, протекавшей с анемией и
носительством УПМФ, роды I срочные, осложненные.
Дз: Врожденная аномалия правой голени, врожденный ложный сустав,
врожденная дисплазия тазобедренных суставов, coxa valga. 
Нейрофиброматоз, факоматоз.

В 2006 г. – остеоклазия с иммобилизацией циркулярной гипосовой
повязкой, в 2007 – интерлок, затем - костная аутопластика, стержневой АВФ.

С 2006 г. определена мышечная дистония.В 2008 г. впервые со слов родителей установлен диагноз
нейрофиброматоз. На МРТ - факоматоз. Поверхностная ЭМГ от 18.09.2008. - полученные
параметры характерны для миопатического синдрома.

Вопрос: какие возможны варианты лечения с учетом тяжелой
сопутствующей патологии (нейрофиброматоза)?Заранее благодарю! 


А.В.Владзимирский
----------- УМЕДХЭБС ЮБУФШ -----------
Вложение не в текстовом формате было извлечено…
Имя     : xray_leg.JPG
Тип     : image/jpeg
Размер  : 30809 байтов
Описание: отсутствует
Url     : http://weborto.net:8080/pipermail/ortho/attachments/20081114/2a74e7c2/attachment-0001.jpeg 


Подробная информация о списке рассылки Ortho