[Ortho] Перелом таранной кости

Djoldas Kuldjanov orthoforum на weborto.net
Сб Ноя 15 22:25:53 YEKT 2008


Второй случай прооперирован вчера.

10 дней назад поступил с открытым повреждением медиальной лодыжки и переломо вывихом таранной кости. Ургентно сделана репозиция с наложением наружного фиксатора + Irrigation&Debridment.

Во время репозиции выявили повреждение заднего сухожилия м. тибиалис и задней большеберцовой артерии. Медиальную рану удалось закрыть частично и установлен вакуум.

Дважды провели Irrigation&Debridment с заменой вакуума.

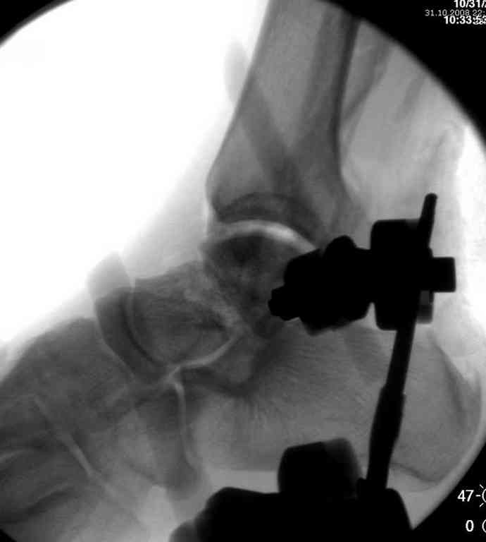
Вчера провели фиксацию.

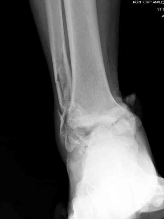
Из-за многооскольчатости дистальной части малоберцовой, где невозможно было провести фиксацию шурупами, перелом зафиксирован подпирающей пластиной, которая должна служить дополнением отсутствующей дистальной части малоберцовой (lateral cortex substitute).

Для стабильности два шурупа на синдесмоз.

Медиальную рану с приближенными краями продолжаем вакуумировать (KCI). Наружный фиксатор оставлен на пару недель, надеюсь, небольшая рана будет гранулировать и закроется без кожной пластики. Фиксация медиальной ложыжки не планируется.

Djoldas Kuldjanov, MD
Department of Orthopedic Surgery
St. Louis University Medical Center

----------- следущая часть -----------
Вложение не в текстовом формате было извлечено…
Имя     : 1 talar fx disloc injury.jpg
Тип     : image/jpeg
Размер  : 19623 байтов
Описание: отсутствует
Url     : http://weborto.net:8080/pipermail/ortho/attachments/20081115/035efe5b/attachment-0007.jpg 
----------- следущая часть -----------
Вложение не в текстовом формате было извлечено…
Имя     : 2 talar fxdis injury.jpg
Тип     : image/jpeg
Размер  : 23017 байтов
Описание: отсутствует
Url     : http://weborto.net:8080/pipermail/ortho/attachments/20081115/035efe5b/attachment-0008.jpg 
----------- следущая часть -----------
Вложение не в текстовом формате было извлечено…
Имя     : 3 CRM 0.jpg
Тип     : image/jpeg
Размер  : 24543 байтов
Описание: отсутствует
Url     : http://weborto.net:8080/pipermail/ortho/attachments/20081115/035efe5b/attachment-0009.jpg 
----------- следущая часть -----------
Вложение не в текстовом формате было извлечено…
Имя     : 6 CRM lat.jpg
Тип     : image/jpeg
Размер  : 26125 байтов
Описание: отсутствует
Url     : http://weborto.net:8080/pipermail/ortho/attachments/20081115/035efe5b/attachment-0010.jpg 
----------- следущая часть -----------
Вложение не в текстовом формате было извлечено…
Имя     : 8 CRM 3.jpg
Тип     : image/jpeg
Размер  : 25734 байтов
Описание: отсутствует
Url     : http://weborto.net:8080/pipermail/ortho/attachments/20081115/035efe5b/attachment-0011.jpg 
----------- следущая часть -----------
Вложение не в текстовом формате было извлечено…
Имя     : 9 Talarfx  2.jpg
Тип     : image/jpeg
Размер  : 18264 байтов
Описание: отсутствует
Url     : http://weborto.net:8080/pipermail/ortho/attachments/20081115/035efe5b/attachment-0012.jpg 
----------- следущая часть -----------
Вложение не в текстовом формате было извлечено…
Имя     : 10 fix CRM 5.jpg
Тип     : image/jpeg
Размер  : 23062 байтов
Описание: отсутствует
Url     : http://weborto.net:8080/pipermail/ortho/attachments/20081115/035efe5b/attachment-0013.jpg 


Подробная информация о списке рассылки Ortho